Warehouse Overstock Promotion |  Save 10%  on Premium Lab Supplies |  Shop Now

Menu

This product has been added to the cart.

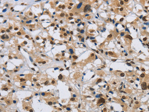
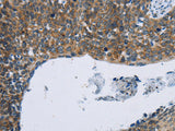
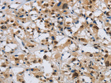
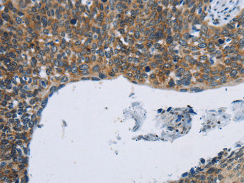
KPNB1 Polyclonal Antibody

SKU: E-AB-13334-200

  • $ 55995


Request a Quote

KPNB1 Polyclonal Antibody

 

SKU # E-AB-13334
Reactivity Human, Mouse, Rat
Host Rabbit
Applications IHC

 

Product Details

Isotype IgG
Host Rabbit
Reactivity Human, Mouse, Rat
Applications IHC
Clonality Polyclonal
Immunogen Synthetic peptide of human KPNB1
Abbre KPNB1
Synonyms IMB 1,  IMB1,  IPOB,  Impnb,  Importin 90,  Importin beta 1,  Importin beta 1 subunit,  Importin subunit beta-1,  Importin-90,  KPNB 1,  Karyopherin beta 1,  Karyopherin beta 1 subunit,  Karyopherin subunit beta-1,  Kpnb1,  MGC2155,  MGC2156,  MGC2157,  NTF 97,  NTF97,  Nuclear factor P9
Swissprot
Cellular Localization Cytoplasm. Nucleus envelope.
Concentration 1 mg/mL
Buffer Phosphate buffered solution, pH 7.4, containing 0.05% stabilizer and 50% glycerol.
Purification Method Affinity purification
Research Areas Cancer,  Epigenetics and Nuclear Signaling,  Signal Transduction,  Tags and Cell Markers
Conjugation Unconjugated
Storage Store at -20°C Valid for 12 months. Avoid freeze / thaw cycles.
Shipping The product is shipped with ice pack, upon receipt, store it immediately at the temperature recommended.

 

Related Reagents

Applications Recommended Dilution
IHC 1:50-1:200

 

Background

Nucleocytoplasmic transport, a signal- and energy-dependent process, takes place through nuclear pore complexes embedded in the nuclear envelope. The import of proteins containing a nuclear localization signal (NLS) requires the NLS import receptor, a heterodimer of importin alpha and beta subunits also known as karyopherins. Importin alpha binds the NLS-containing cargo in the cytoplasm and importin beta docks the complex at the cytoplasmic side of the nuclear pore complex. In the presence of nucleoside triphosphates and the small GTP binding protein Ran, the complex moves into the nuclear pore complex and the importin subunits dissociate. Importin alpha enters the nucleoplasm with its passenger protein and importin beta remains at the pore.