Warehouse Overstock Promotion |  Save 10%  on Premium Lab Supplies |  Shop Now

Menu

This product has been added to the cart.

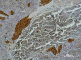
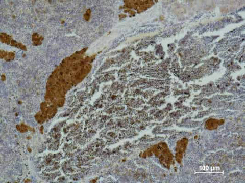
IL2RA Monoclonal Antibody

SKU: E-AB-22102-200

  • $ 55995


Request a Quote

IL2RA Monoclonal Antibody

 

SKU # E-AB-22102
Reactivity Human
Host Mouse
Applications IHC-p

 

Product Details

Isotype IgG
Host Mouse
Reactivity Human
Applications IHC-p
Clonality Monoclonal
Immunogen Synthetic Peptide
Abbre CD25
Synonyms IMD,  IDDM,  IL2RA,  CD25,  IDDM10,  IL2R,  IMD41,  TCGFR,  p55,  IL-2 receptor subunit alpha,  IL-2R subunit alpha,  IL2-RA,  IL-2-RA,  IL-2Rα,  Interleukin-2 receptor subunit alpha,  TAC antigen,  Tac,   p55,   IL-2R&,  alpha,  alpha chain,  CD25 antigen,  IL 2 receptor alpha subunit,  IL2 RA,  Interleukin 2 receptor,  Interleukin 2 receptor alpha,  Interleukin 2 receptor alpha chain,  t-cell growth factor receptor
Swissprot
Cellular Localization Membrane.
Concentration 1 mg/mL
Buffer Phosphate buffered solution, pH 7.4, containing 0.05% stabilizer, 0.5% protein protectant and 50% glycerol.
Purification Method Protein A purification
Research Areas Cancer,  Immunology
Clone No. 7F3
Conjugation Unconjugated
Storage Store at -20°C Valid for 12 months. Avoid freeze / thaw cycles.
Shipping The product is shipped with ice pack,upon receipt,store it immediately at the temperature recommended.

 

Related Reagents

Applications Recommended Dilution
IHC 1:200-500

 

Background

Receptor for interleukin-2.