Warehouse Overstock Promotion |  Save 10%  on Premium Lab Supplies |  Shop Now

Menu

This product has been added to the cart.

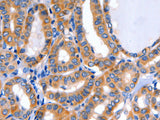
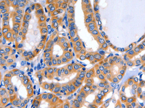
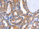
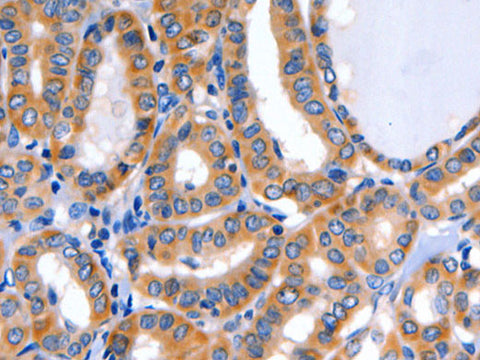
GFER Polyclonal Antibody Store at -20°C

SKU: E-AB-10126-200

  • $ 33995


Request a Quote

GFER Polyclonal Antibody Store at -20°C

 

SKU # E-AB-10126
Reactivity Human, Mouse, Rat
Host Rabbit
Applications IHC

 

Product Details

Isotype IgG
Host Rabbit
Reactivity Human,  Mouse,  Rat
Applications IHC
Clonality Polyclonal
Immunogen Recombinant protein of human GFER
Abbre GFER
Synonyms ALR,  Augmenter of liver regeneration,  ERV1,  ERV1 homolog,  Erv1 like growth factor,  FAD-linked sulfhydryl oxidase ALR,  GFER,  Growth factor augmenter of liver regeneration,  Growth factor erv1 like,  Hepatic regenerative stimulation substance,  Hepatopoiet,  Hepatopoietin
Swissprot
Cellular Localization Mitochondrion intermembrane space and Cytoplasm. Secreted.
Concentration 0.5 mg/mL
Buffer Phosphate buffered solution, pH 7.4, containing 0.05% stabilizer and 50% glycerol.
Purification Method Affinity purification
Research Areas Cell Biology,  Signal Transduction
Conjugation Unconjugated
Storage Store at -20°C Valid for 12 months. Avoid freeze / thaw cycles.
Shipping The product is shipped with ice pack,upon receipt,store it immediately at the temperature recommended.

 

Related Reagents

Applications Recommended Dilution
IHC 1:50-1:200

 

Background

The hepatotrophic factor designated augmenter of liver regeneration (ALR) is thought to be one of the factors responsible for the extraordinary regenerative capacity of mammalian liver. It has also been called hepatic regenerative stimulation substance (HSS). The gene resides on chromosome 16 in the interval containing the locus for polycystic kidney disease (PKD1). The putative gene product is 42 similar to the scERV1 protein of yeast. The yeast scERV1 gene had been found to be essential for oxidative phosphorylation, the maintenance of mitochondrial genomes, and the cell division cycle. The human gene is both the structural and functional homolog of the yeast scERV1 gene.