Warehouse Overstock Promotion |  Save 10%  on Premium Lab Supplies |  Shop Now

Menu

This product has been added to the cart.

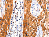
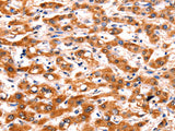
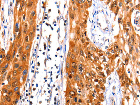
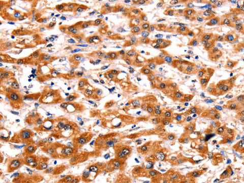
FBLN1 Polyclonal Antibody Store at -20°C

SKU: E-AB-12407-200

  • $ 55995


Request a Quote

FBLN1 Polyclonal Antibody Store at -20°C

 

SKU # E-AB-12407
Reactivity Human
Host Rabbit
Applications IHC

 

Product Details

Isotype IgG
Host Rabbit
Reactivity Human
Applications IHC
Clonality Polyclonal
Immunogen Synthetic peptide of human FBLN1
Abbre FBLN1
Synonyms BM 90,  Basement membrane protein 90,  FBLN,  FBLN1,  FIBL 1,  FIBL-1,  FIBL1,  Fbln1,  Fibulin 1,  Fibulin-1
Swissprot
Cellular Localization Secreted>extracellular space>extracellular matrix.
Concentration 0.6 mg/mL
Buffer Phosphate buffered solution, pH 7.4, containing 0.05% stabilizer and 50% glycerol.
Purification Method Affinity purification
Research Areas Cancer,  Cardiovascular,  Signal Transduction
Conjugation Unconjugated
Storage Store at -20°C Valid for 12 months. Avoid freeze / thaw cycles.
Shipping The product is shipped with ice pack,upon receipt,store it immediately at the temperature recommended.

 

Related Reagents

Applications Recommended Dilution
IHC 1:100-1:300

 

Background

Fibulin 1 is a secreted glycoprotein that becomes incorporated into a fibrillar extracellular matrix. Calcium-binding is apparently required to mediate its binding to laminin and nidogen. It mediates platelet adhesion via binding fibrinogen. Four splice variants which differ in the 3' end have been identified. Each variant encodes a different isoform, but no functional distinctions have been identified among the four variants.