Warehouse Overstock Promotion |  Save 10%  on Premium Lab Supplies |  Shop Now

Menu

This product has been added to the cart.

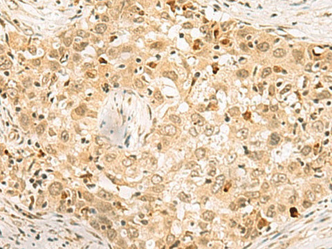
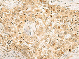
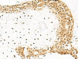
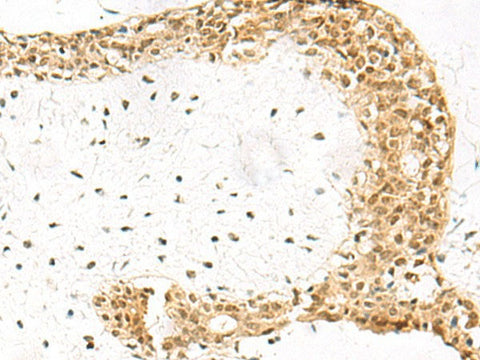
EXOSC4 Polyclonal Antibody Reactivity Human

SKU: E-AB-53108-200

  • $ 55995


Request a Quote

EXOSC4 Polyclonal Antibody Reactivity Human

 

SKU # E-AB-53108
Reactivity Human, Mouse
Host Rabbit
Applications IHC

 

Product Details

Isotype IgG
Host Rabbit
Reactivity Human, Mouse
Applications IHC
Clonality Polyclonal
Immunogen Fusion protein of human EXOSC4
Abbre EXOSC4
Synonyms EXOSC 4,  Exosome complex component RRP41,  Exosome complex exonuclease RRP41,  Exosome component 4 ,  Exosome component Rrp41 ,  FLJ20591 ,  RRP 41,  RRP41,  RRP41A ,  Ribosomal RNA processing protein 41,  Rrp41p ,  SKI 6,  SKI6 ,  Ski6p,  hRrp41p,  p12A
Swissprot
Cellular Localization Cytoplasm. Nucleus, nucleolus.
Concentration 1.26 mg/mL
Buffer Phosphate buffered solution, pH 7.4, containing 0.05% stabilizer and 50% glycerol.
Purification Method Antigen affinity purification
Research Areas Epigenetics and Nuclear Signaling
Conjugation Unconjugated
Storage Store at -20°C Valid for 12 months. Avoid freeze / thaw cycles.

Shipping

The product is shipped with ice pack, upon receipt, store it immediately at the temperature recommended.

 

Related Reagents

Applications Recommended Dilution
IHC 1:50-1:200

 

Background

Non-catalytic component of the RNA exosome complex which has 3'->5' exoribonuclease activity and participates in a multitude of cellular RNA processing and degradation events. In the nucleus, the RNA exosome complex is involved in proper maturation of stable RNA species such as rRNA, snRNA and snoRNA, in the elimination of RNA processing by-products and non-coding 'pervasive' transcripts, such as antisense RNA species and promoter-upstream transcripts (PROMPTs), and of mRNAs with processing defects, thereby limiting or excluding their export to the cytoplasm. The RNA exosome may be involved in Ig class switch recombination (CSR) and/or Ig variable region somatic hypermutation (SHM) by targeting AICDA deamination activity to transcribed dsDNA substrates. In the cytoplasm, the RNA exosome complex is involved in general mRNA turnover and specifically degrades inherently unstable mRNAs containing AU-rich elements (AREs) within their 3' untranslated regions, and in RNA surveillance pathways, preventing translation of aberrant mRNAs. It seems to be involved in degradation of histone mRNA. The catalytic inactive RNA exosome core complex of 9 subunits (Exo-9) is proposed to play a pivotal role in the binding and presentation of RNA for ribonucleolysis, and to serve as a scaffold for the association with catalytic subunits and accessory proteins or complexes. EXOSC4 binds to ARE-containing RNAs.