Warehouse Overstock Promotion |  Save 10%  on Premium Lab Supplies |  Shop Now

Menu

This product has been added to the cart.

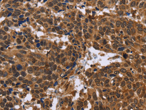
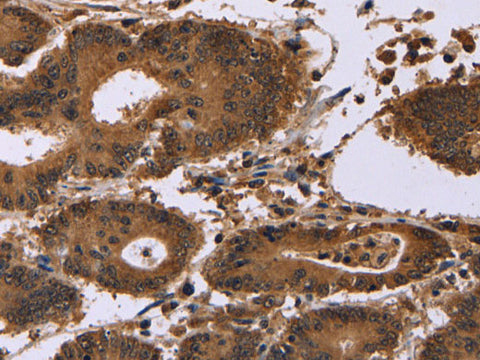
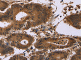
EDN2 Polyclonal Antibody Reactivity Human

SKU: E-AB-11198-200

  • $ 55995


Request a Quote

EDN2 Polyclonal Antibody Reactivity Human

 

SKU # E-AB-11198
Reactivity Human
Host Rabbit
Applications WB, IHC

 

Product Details

Isotype IgG
Host Rabbit
Reactivity Human
Applications WB, IHC
Clonality Polyclonal
Immunogen Recombinant protein of human EDN2
Abbre EDN2
Synonyms EDN2,  ET 2,  ET-2,  ET2,  Endothelin 2,  Endothelin-2,  PPET2,  Preproendothelin 2,  Preproendothelin-2
Swissprot
Calculated MW 20 kDa
Cellular Localization Secreted.
Concentration 0.5 mg/mL
Buffer Phosphate buffered solution, pH 7.4, containing 0.05% stabilizer and 50% glycerol.
Purification Method Affinity purification
Research Areas Cancer,  Cardiovascular,  Signal Transduction
Conjugation Unconjugated
Storage Store at -20°C Valid for 12 months. Avoid freeze / thaw cycles.
Shipping The product is shipped with ice pack,upon receipt,store it immediately at the temperature recommended.

 

Related Reagents

Applications Recommended Dilution
WB 1:500-1:2000
IHC 1:50-1:200

 

Background

This gene encodes a member of the endothelin protein family of secretory vasoconstrictive peptides. The preproprotein is processed to a short mature form which functions as a ligand for the endothelin receptors that initiate intracellular signaling events. This gene product is involved in a wide range of biological processes, such as hypertension and ovulation.