Warehouse Overstock Promotion |  Save 10%  on Premium Lab Supplies |  Shop Now

Menu

This product has been added to the cart.

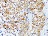
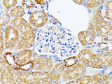
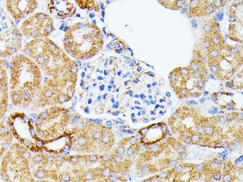
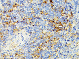
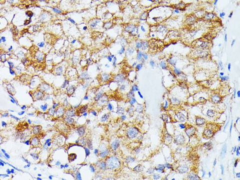
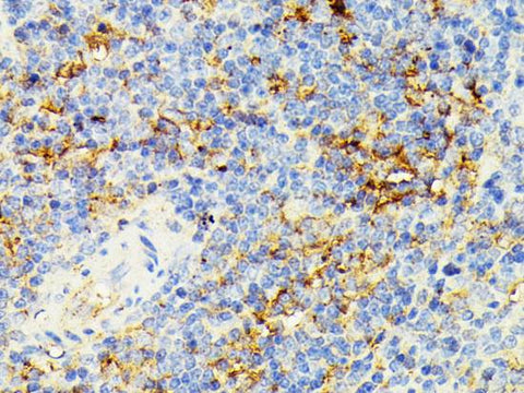
ECE1 Polyclonal Antibody

SKU: E-AB-93351-200

  • $ 67795


Request a Quote

ECE1 Polyclonal Antibody

 

SKU # E-AB-93351
Reactivity Human, Mouse, Rat
Host Rabbit
Applications IHC, IF

 

Product Details

Isotype IgG
Host Rabbit
Reactivity Human, Mouse, Rat
Applications IHC, IF
Clonality Polyclonal
Immunogen Recombinant fusion protein of human ECE1
Abbre ECE1
Synonyms ECE,   endothelin-converting enzyme 1,  ECE1
Swissprot
Calculated MW 85 kDa/87 kDa
Observed MW Refer to figures
Cellular Localization Cell membrane, Single-pass type II membrane protein.
Concentration 1 mg/mL
Buffer Phosphate buffered solution, pH 7.4, containing 0.05% stabilizer and 50% glycerol.
Purification Method Affinity purification
Research Areas Cancer, Cardiovascular, Metabolism, Signal Transduction
Conjugation Unconjugated
Storage Store at -20°C Valid for 12 months. Avoid freeze / thaw cycles.
Shipping The product is shipped with ice pack,upon receipt,store it immediately at the temperature recommended.

 

Related Reagents

Applications Recommended Dilution
IHC 1:50-1:200
IF 1:50-1:200

 

Background

The protein encoded by this gene is involved in proteolytic processing of endothelin precursors to biologically active peptides. Mutations in this gene are associated with Hirschsprung disease, cardiac defects and autonomic dysfunction. Alternatively spliced transcript variants encoding different isoforms have been noted for this gene.