Warehouse Overstock Promotion |  Save 10%  on Premium Lab Supplies |  Shop Now

Menu

This product has been added to the cart.

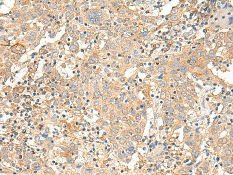
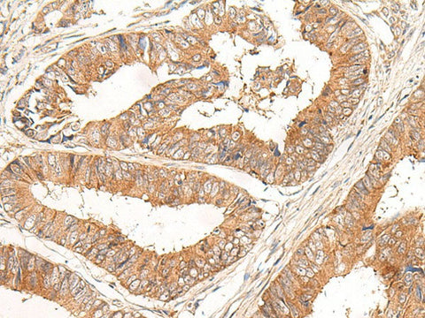
CORO2A Polyclonal Antibody Reactivity Human

SKU: E-AB-52651-200

  • $ 55995


Request a Quote

CORO2A Polyclonal Antibody Reactivity Human

 

SKU # E-AB-52651
Reactivity Human
Host Rabbit
Applications IHC

 

Product Details

Isotype IgG
Host Rabbit
Reactivity Human
Applications IHC
Clonality Polyclonal
Immunogen Fusion protein of human CORO2A
Abbre CORO2A
Synonyms CLIPINB,  COR2A,  CORO 2A,  CORO2A,  Coronin 2A,  Coronin actin binding protein 2A,  Coronin like protein B,  Coronin-2A,  DKFZp686G19226,  IR10,  OTTHUMP00000021767,  OTTHUMP00000021768,  WD protein IR10,  WD repeat containing protein 2,  WD repeat protein 2,  WD repeat-containing pr
Swissprot
Concentration 0.54 mg/mL
Buffer Phosphate buffered solution, pH 7.4, containing 0.05% stabilizer and 50% glycerol.
Purification Method Antigen affinity purification
Research Areas Epigenetics and Nuclear Signaling,  Signal transduction
Conjugation Unconjugated
Storage Store at -20°C Valid for 12 months. Avoid freeze / thaw cycles.
Shipping The product is shipped with ice pack, upon receipt, store it immediately at the temperature recommended.

 

Related Reagents

Applications Recommended Dilution
IHC 1:30-1:150

 

Background

This gene encodes a member of the WD repeat protein family. WD repeats are minimally conserved regions of approximately 40 amino acids typically bracketed by gly-his and trp-asp (GH-WD), which may facilitate formation of heterotrimeric or multiprotein complexes. Members of this family are involved in a variety of cellular processes, including cell cycle progression, signal transduction, apoptosis, and gene regulation. This protein contains 5 WD repeats, and has a structural similarity with actin-binding proteins: the D. discoideum coronin and the human p57 protein, suggesting that this protein may also be an actin-binding protein that regulates cell motility. Alternative splicing of this gene generates 2 transcript variants.