Warehouse Overstock Promotion |  Save 10%  on Premium Lab Supplies |  Shop Now

Menu

This product has been added to the cart.

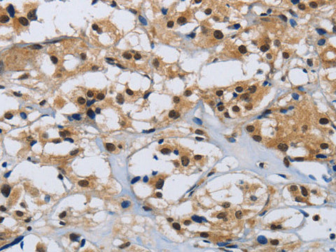
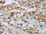
CMTM8 Polyclonal Antibody

SKU: E-AB-12451-200

  • $ 55995


Request a Quote

CMTM8 Polyclonal Antibody

 

SKU # E-AB-12451
Reactivity Human, Mouse
Host Rabbit
Applications IHC

 

Product Details

Isotype IgG
Host Rabbit
Reactivity Human, Mouse
Applications IHC
Clonality Polyclonal
Immunogen Synthetic peptide of human CMTM8
Abbre CMTM8
Synonyms CKLF like MARVEL transmembrane domain containing 8,  CKLFSF8 V2,  CMTM 8,  CMTM8,  Chemokine like factor super family member 8
Swissprot
Cellular Localization Cell membrane and Secreted.
Concentration 0.4 mg/mL
Buffer Phosphate buffered solution, pH 7.4, containing 0.05% stabilizer and 50% glycerol.
Purification Method Affinity purification
Research Areas Signal Transduction
Conjugation Unconjugated
Storage Store at -20°C Valid for 12 months. Avoid freeze / thaw cycles.
Shipping The product is shipped with ice pack,upon receipt,store it immediately at the temperature recommended.

 

Related Reagents

Applications Recommended Dilution
IHC 1:50-1:200

 

Background

This gene belongs to the chemokine-like factor gene superfamily, a novel family that is similar to the chemokine and the transmembrane 4 superfamilies.This gene is one of several chemokine-like factor genes located in a cluster on chromosome 3.This gene is widely expressed in many tissues, but the exact function of the encoded protein is unknown.