Warehouse Overstock Promotion |  Save 10%  on Premium Lab Supplies |  Shop Now

Menu

This product has been added to the cart.

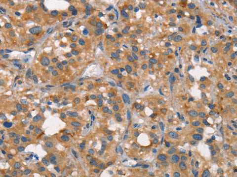
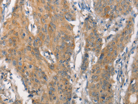
CEACAM6 Polyclonal Antibody Store at -20°C

SKU: E-AB-12782-200

  • $ 55995


Request a Quote

CEACAM6 Polyclonal Antibody Store at -20°C

 

SKU # E-AB-12782
Reactivity Human
Host Rabbit
Applications IHC

 

Product Details

Isotype IgG
Host Rabbit
Reactivity Human
Applications IHC
Clonality Polyclonal
Immunogen Synthetic peptide of human CEACAM6
Abbre CEACAM6
Synonyms CD 66c,  CD66c,  CD66c antigen,  CEA LIKE PROTEIN,  Carcinoembryonic antigen related cell adhesion molecule 6,  Carcinoembryonic antigen related cell adhesion molecule 6 (non specific cross reacting antigen),  Carcinoembryonic antigen-related cell adhesion molecule 6
Swissprot
Cellular Localization Cell membrane.
Concentration 0.6 mg/mL
Buffer Phosphate buffered solution, pH 7.4, containing 0.05% stabilizer and 50% glycerol.
Purification Method Affinity purification
Research Areas Cancer,  Tags and Cell Markers
Conjugation Unconjugated
Storage Store at -20°C Valid for 12 months. Avoid freeze / thaw cycles.
Shipping The product is shipped with ice pack,upon receipt,store it immediately at the temperature recommended.

 

Related Reagents

Applications Recommended Dilution
IHC 1:50-1:200

 

Background

Carcinoembryonic antigen (CEA; MIM 114890) is one of the most widely used tumor markers in serum immunoassay determinations of carcinoma. An apparent lack of absolute cancer specificity for CEA probably results in part from the presence in normal and neoplastic tissues of antigens that share antigenic determinants with the 180-kD form of CEA (Barnett et al., 1988 [PubMed 3220478]). For background information on the CEA family of genes, see CEACAM1 (MIM 109770).