Warehouse Overstock Promotion |  Save 10%  on Premium Lab Supplies |  Shop Now

Menu

This product has been added to the cart.

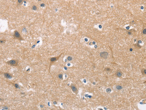
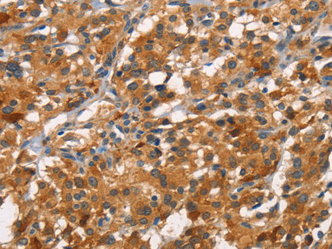
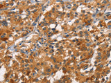
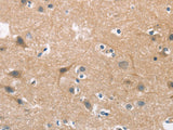
CDC25B Polyclonal Antibody Store at -20°C

SKU: E-AB-12785-200

  • $ 55995


Request a Quote

CDC25B Polyclonal Antibody Store at -20°C

 

SKU # E-AB-12785
Reactivity Human
Host Rabbit
Applications IHC

 

Product Details

Isotype IgG
Host Rabbit
Reactivity Human
Applications IHC
Clonality Polyclonal
Immunogen Synthetic peptide of human CDC25B
Abbre CDC25B
Synonyms AI604853,  CDC25HU2,  Cdc 25B,  Cdc25b,  Cdc25m2,  Cell division cycle 2,  Cell division cycle 25 homolog B,  Cell division cycle 25B,  Cell division cycle 25B isoform 1,  Cell division cycle 25B isoform 2,  Cell division cycle 25B isoform 3,  Cell division cycle 25B isoform 4
Swissprot
Cellular Localization Cytoplasm, cytoskeleton, microtubule organizing center, centrosome. Cytoplasm, cytoskeleton, spindle pole.
Concentration 0.2 mg/mL
Buffer Phosphate buffered solution, pH 7.4, containing 0.05% stabilizer and 50% glycerol.
Purification Method Affinity purification
Research Areas Cancer,  Cell Biology,  Epigenetics and Nuclear Signaling
Conjugation Unconjugated
Storage Store at -20°C Valid for 12 months. Avoid freeze / thaw cycles.
Shipping The product is shipped with ice pack,upon receipt,store it immediately at the temperature recommended.

 

Related Reagents

Applications Recommended Dilution
IHC 1:50-1:200

 

Background

CDC25B is a member of the CDC25 family of phosphatases. CDC25B activates the cyclin dependent kinase CDC2 by removing two phosphate groups and it is required for entry into mitosis. CDC25B shuttles between the nucleus and the cytoplasm due to nuclear localization and nuclear export signals. The protein is nuclear in the M and G1 phases of the cell cycle and moves to the cytoplasm during S and G2. CDC25B has oncogenic properties, although its role in tumor formation has not been determined. Multiple transcript variants for this gene exist.