Warehouse Overstock Promotion |  Save 10%  on Premium Lab Supplies |  Shop Now

Menu

This product has been added to the cart.

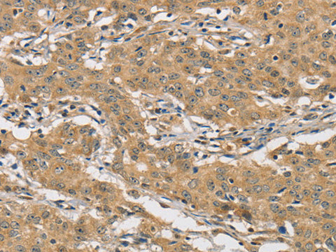
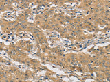
AMZ2 Polyclonal Antibody Store at -20°C

SKU: E-AB-14598-200

  • $ 55995


Request a Quote

AMZ2 Polyclonal Antibody Store at -20°C

 

SKU # E-AB-14598
Reactivity Human
Host Rabbit
Applications IHC

 

Product Details

Isotype IgG
Host Rabbit
Reactivity Human
Applications IHC
Clonality Polyclonal
Immunogen Recombinant protein of human AMZ2
Abbre AMZ2
Synonyms AMZ2,  Archaelysin family metallopeptidase 2,  Archaemetzincin 2,  Archaemetzincin-2,  Archeobacterial metalloproteinase like protein 2,  Archeobacterial metalloproteinase-like protein 2
Swissprot
Concentration 0.7 mg/mL
Buffer Phosphate buffered solution, pH 7.4, containing 0.05% stabilizer and 50% glycerol.
Purification Method Affinity purification
Research Areas Cell Biology
Conjugation Unconjugated
Storage Store at -20°C Valid for 12 months. Avoid freeze / thaw cycles.
Shipping The product is shipped with ice pack,upon receipt,store it immediately at the temperature recommended.

 

Related Reagents

Applications Recommended Dilution
IHC 1:50-1:200

 

Background

AMZ2 (archaelysin family metallopeptidase 2), also known as archaemetzincin-2 or archeobacterial metalloproteinase-like protein 2, is a 360 amino acid protein belonging to the peptidase M54 family.Encoded by a gene that maps to human chromosome 17q24.2, AMZ2 is predominantly expressed in heart and testis.AMZ2 is also expressed in kidney, liver, pancreas, lung, brain and placenta, and in fetal tissues such as kidney, liver, lung and brain.AMZ2 participates in metal ion binding and functions as a zinc metalloprotease.AMZ2 is inhibited by both general metalloprotease inhibitors o-phenanthroline and batimastat.Exhibiting aminopeptidase activity, AMZ2 acts against Angiotensin in vitro, but does not hydrolyze either Neurogranin or Angiotensin.