Warehouse Overstock Promotion |  Save 10%  on Premium Lab Supplies |  Shop Now

Menu

This product has been added to the cart.

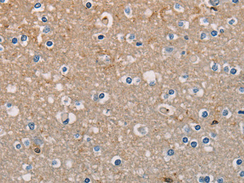
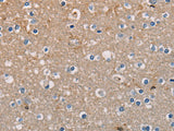
AMBRA1 Polyclonal Antibody

SKU: E-AB-10787-200

  • $ 33995


Request a Quote

AMBRA1 Polyclonal Antibody

 

SKU # E-AB-10787
Reactivity Human, Mouse
Host Rabbit
Applications IHC

 

Product Details

Isotype IgG
Host Rabbit
Reactivity Human,  Mouse
Applications IHC
Clonality Polyclonal
Immunogen Recombinant protein of human AMBRA1
Abbre AMBRA1
Synonyms AMRA1,  Activating molecule in BECN1 regulated autophagy protein 1,  Activating molecule in BECN1-regulated autophagy protein 1,  Activating molecule in beclin 1 regulated autophagy,  Ambra1,  Autophagy and beclin 1 regulator 1,  DCAF3,  FLJ20294,  Hypothetical protein F
Swissprot
Cellular Localization Cytoplasmic vesicle>autophagosome.
Concentration 0.3 mg/mL
Buffer Phosphate buffered solution, pH 7.4, containing 0.05% stabilizer and 50% glycerol.
Purification Method Affinity purification
Research Areas Cancer,  Cardiovascular,  Metabolism,  Neuroscience,  Signal Transduction
Conjugation Unconjugated
Storage Store at -20°C Valid for 12 months. Avoid freeze / thaw cycles.
Shipping The product is shipped with ice pack,upon receipt,store it immediately at the temperature recommended.

 

Related Reagents

Applications Recommended Dilution
IHC 1:50-1:200

 

Background

Human AMBRA1, which encodes a deduced 1,269-amino acid protein. Ambra1 was expressed throughout development in mice, with strong staining in the neuroepithelium. Regulates autophagy and development of the nervous system. Involved in autophagy in controlling protein turnover during neuronal development, and in regulating normal cell survival and proliferation. Interacts with BECN1. Probably forms a complex with BECN1 and PIK3C3.