Warehouse Overstock Promotion |  Save 10%  on Premium Lab Supplies |  Shop Now

Menu

This product has been added to the cart.

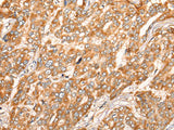
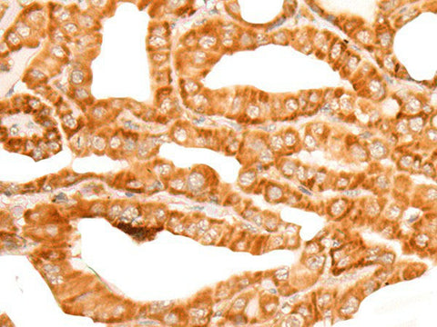
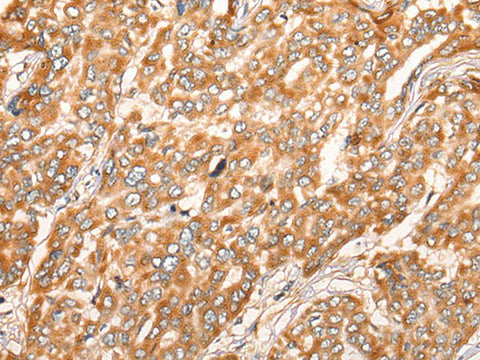
ZMYND10 Polyclonal Antibody

SKU: E-AB-52475-200

  • $ 55995
  • Save $ 4000


Request a Quote

ZMYND10 Polyclonal Antibody

 

SKU # E-AB-52475
Reactivity Human, Mouse, Rat
Host Rabbit
Applications IHC

 

Product Details

Isotype IgG
Host Rabbit
Reactivity Human, Mouse, Rat
Applications IHC
Clonality Polyclonal
Immunogen Fusion protein of human ZMYND10
Abbre ZMYND10
Synonyms MYND domain containing 10,   MYND-type containing 10,  BLu Protein,  FLU,  Protein BLu,  ZMY10,  Zinc finger MYND domain-containing protein 10,  Zmynd10,  zinc finger,  zinc finger MYND domain containing protein 10
Swissprot
Concentration 0.5 mg/mL
Buffer Phosphate buffered solution, pH 7.4, containing 0.05% stabilizer and 50% glycerol.
Purification Method Antigen affinity purification
Research Areas Epigenetics and Nuclear Signaling
Conjugation Unconjugated
Storage Store at -20°C Valid for 12 months. Avoid freeze / thaw cycles.
Shipping The product is shipped with ice pack, upon receipt, store it immediately at the temperature recommended.

 

Related Reagents

Applications Recommended Dilution
IHC 1:30-1:150

 

Background

This gene encodes a protein containing a MYND-type zinc finger domain that likely functions in assembly of the dynein motor. Mutations in this gene can cause primary ciliary dyskinesia. This gene is also considered a tumor suppressor gene and is often mutated, deleted, or hypermethylated and silenced in cancer cells. Alternative splicing results in multiple transcript variants.