Warehouse Overstock Promotion |  Save 10%  on Premium Lab Supplies |  Shop Now

Menu

This product has been added to the cart.

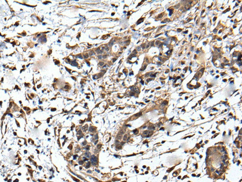
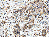
ZFP36 Polyclonal Antibody Reactivity Human

SKU: E-AB-52369-200

  • $ 55995
  • Save $ 4000


Request a Quote

ZFP36 Polyclonal Antibody Reactivity Human

 

SKU # E-AB-52369
Reactivity Human, Mouse, Rat
Host Rabbit
Applications IHC

 

Product Details

Isotype IgG
Host Rabbit
Reactivity Human, Mouse, Rat
Applications IHC
Clonality Polyclonal
Immunogen Fusion protein of human ZFP36
Abbre ZFP36
Synonyms G0/G1 switch regulatory protein 24,  G0S24,  GOS24,  Growth factor-inducible nuclear protein NUP475,  NUP475,  Protein TIS11A,  RNF162A,  TIS 11,  TIS11,  TIS11A,  TTP,  Tristetraprolin,  Tristetraproline,  ZFP36,  Zfp-36,  Zin,  Zinc finger protein 36,  Zinc finger protein 36 homolog
Swissprot
Cellular Localization Nucleus. Cytoplasm. Localizes to stress granules upon energy starvation. phosphorylation by MAPKAPK2 promotes exclusion from stress granules.
Concentration 0.8 mg/mL
Buffer Phosphate buffered solution, pH 7.4, containing 0.05% stabilizer and 50% glycerol.
Purification Method Antigen affinity purification
Research Areas Cancer,  Epigenetics and Nuclear Signaling,  Immunology,  Neuroscience,  Signal transduction
Conjugation Unconjugated
Storage Store at -20°C Valid for 12 months. Avoid freeze / thaw cycles.
Shipping The product is shipped with ice pack,upon receipt,store it immediately at the temperature recommended.

 

Related Reagents

Applications Recommended Dilution
IHC  1:40-1:200

 

Background

mRNA-binding protein involved in post-transcriptional regulation of AU-rich element (ARE)-containing mRNAs. Acts by specifically binding ARE-containing mRNAs and promoting their degradation. Recruits deadenylase CNOT7 (and probably the CCR4-NOT complex) via association with CNOT1. Plays a key role in the post-transcriptional regulation of tumor necrosis factor (TNF). Plays a key role in the post-transcriptional regulation of tumor necrosis factor (TNF).