Warehouse Overstock Promotion |  Save 10%  on Premium Lab Supplies |  Shop Now

Menu

This product has been added to the cart.

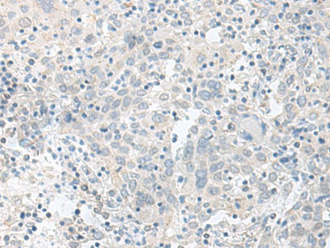
TIMM8A Polyclonal Antibody Reactivity Human

SKU: E-AB-52670-200

  • $ 55995
  • Save $ 4000


Request a Quote

TIMM8A Polyclonal Antibody Reactivity Human

 

SKU # E-AB-52670
Reactivity Human, Mouse, Rat
Host Rabbit
Applications IHC

 

Product Details

Isotype IgG
Host Rabbit
Reactivity Human, Mouse, Rat
Applications IHC
Clonality Polyclonal
Immunogen Fusion protein of human TIMM8A
Abbre TIMM8A
Synonyms DDP,  DDP 1,  DDP1,  DFN 1,  DFN1,  Deafness dystonia protein 1,  Deafness/dystonia peptide,  MGC12262,  MTS,  Mitochondrial import inner membrane translocase subunit Tim8 A,  TIM 8A,  TIM8,  TIM8A,  TIMM 8A,  Translocase of inner mitochondrial membrane 8 homolog A,  X li,  timm8a
Swissprot
Cellular Localization Mitochondrion inner membrane.
Concentration 1.62 mg/mL
Buffer Phosphate buffered solution, pH 7.4, containing 0.05% stabilizer and 50% glycerol.
Purification Method Antigen affinity purification
Research Areas Neuroscience,  Signal transduction
Conjugation Unconjugated
Storage Store at -20°C Valid for 12 months. Avoid freeze / thaw cycles.
Shipping The product is shipped with ice pack, upon receipt, store it immediately at the temperature recommended.

 

Related Reagents

Applications Recommended Dilution
IHC 1:50-1:300

 

Background

This translocase is involved in the import and insertion of hydrophobic membrane proteins from the cytoplasm into the mitochondrial inner membrane. The gene is mutated in Mohr-Tranebjaerg syndrome/Deafness Dystonia Syndrome (MTS/DDS) and it is postulated that MTS/DDS is a mitochondrial disease caused by a defective mitochondrial protein import system. Defects in this gene also cause Jensen syndrome; an X-linked disease with opticoacoustic nerve atrophy and muscle weakness. This protein, along with TIMM13, forms a 70 kDa heterohexamer. Alternative splicing results in multiple transcript variants encoding distinct isoforms.