Warehouse Overstock Promotion |  Save 10%  on Premium Lab Supplies |  Shop Now

Menu

This product has been added to the cart.

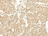
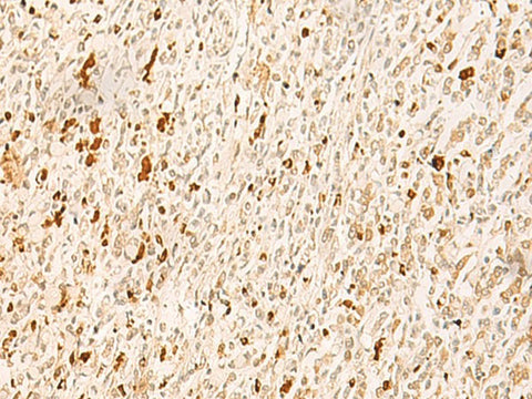
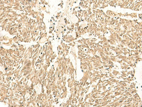
TBPL1 Polyclonal Antibody Reactivity Human

SKU: E-AB-52837-200

  • $ 55995
  • Save $ 4000


Request a Quote

TBPL1 Polyclonal Antibody Reactivity Human

 

SKU # E-AB-52837
Reactivity Human, Mouse
Host Rabbit
Applications WB, IHC

 

Product Details

Isotype IgG
Host Rabbit
Reactivity Human, Mouse
Applications WB, IHC
Clonality Polyclonal
Immunogen Fusion protein of human TBPL1
Abbre TBPL1
Synonyms 21 kDa TBP-like protein,  21kDa TBP like protein,  STUD,  Second TBP of unique DNA,  Second TBP of unique DNA protein,  TATA box binding protein like protein 1,  TATA box binding protein-related factor 2,  TATA box-binding protei,  TATA box-binding protein-like protein 1
Swissprot
Calculated MW 21 kDa
Observed MW Refer to figures
Cellular Localization Cytoplasm. Nucleus.
Concentration 1.2 mg/mL
Buffer Phosphate buffered solution, pH 7.4, containing 0.05% stabilizer and 50% glycerol.
Purification Method Antigen affinity purification
Research Areas Cancer,  Epigenetics and Nuclear Signaling
Conjugation Unconjugated
Storage Store at -20°C Valid for 12 months. Avoid freeze / thaw cycles.
Shipping The product is shipped with ice pack, upon receipt, store it immediately at the temperature recommended.

 

Related Reagents

Applications Recommended Dilution
WB 1:500-1:2000
IHC 1:50-1:300

 

Background

This gene encodes a member of the TATA box-binding protein family. TATA box-binding proteins play a critical role in transcription by RNA polymerase II as components of the transcription factor IID (TFIID) complex. The encoded protein does not bind to the TATA box and initiates transcription from TATA-less promoters. This gene plays a critical role in spermatogenesis, and single nucleotide polymorphisms in this gene may be associated with male infertility. Alternatively spliced transcript variants have been observed for this gene, and a pseudogene of this gene is located on the long arm of chromosome 3.