Warehouse Overstock Promotion |  Save 10%  on Premium Lab Supplies |  Shop Now

Menu

This product has been added to the cart.

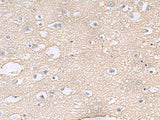
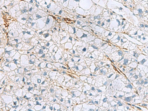
TAGLN3 Polyclonal Antibody Reactivity Human

SKU: E-AB-53076-200

  • $ 55995
  • Save $ 4000


Request a Quote

TAGLN3 Polyclonal Antibody Reactivity Human

 

SKU # E-AB-53076
Reactivity Human, Mouse, Rat
Host Rabbit
Applications IHC

 

Product Details

Isotype IgG
Host Rabbit
Reactivity Human, Mouse, Rat
Applications IHC
Clonality Polyclonal
Immunogen Fusion protein of human TAGLN3
Abbre TAGLN3
Synonyms NP22,  NP25,  Neuronal protein 22,  Neuronal protein NP25,  TAGL3,  TAGLN3,  Transgelin 3,  Transgelin-3
Swissprot
Concentration 0.96 mg/mL
Buffer Phosphate buffered solution, pH 7.4, containing 0.05% stabilizer and 50% glycerol.
Purification Method Antigen affinity purification
Research Areas Neuroscience,  Stem cells
Conjugation Unconjugated
Storage Store at -20°C Valid for 12 months. Avoid freeze / thaw cycles.
Shipping The product is shipped with ice pack, upon receipt, store it immediately at the temperature recommended.

 

Related Reagents

Applications Recommended Dilution
IHC 1:50-1:100

 

Background

The transgelin family is a group of proteins that belong to 22kd actin-related corpnin superfamily. Of all three isoforms, transgelin 1 is the best characterized. Transgelin 1, also known as SM22alpha, is a specific marker for differentiated smooth muscle cells. Transgelin 2, also known as SM22 beta, is expressed by both smooth muscle and non-smooth muscle cells in a temporally and spatially regulated pattern. Trangenlin 3, also known as NP25, is only found in highly differentiated neuronal cells. This antibody was generated against full length transgenlin 3 protein. It may cross-react with other two transgenlins based on the sequence similarity.