Warehouse Overstock Promotion |  Save 10%  on Premium Lab Supplies |  Shop Now

Menu

This product has been added to the cart.

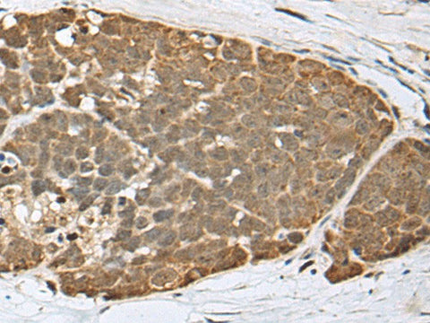
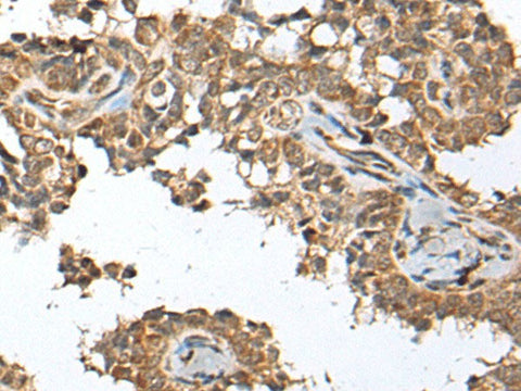
SPRTN Polyclonal Antibody Reactivity Human

SKU: E-AB-52495-200

  • $ 55995
  • Save $ 4000


Request a Quote

SPRTN Polyclonal Antibody Reactivity Human

 

SKU # E-AB-52495
Reactivity Human, Mouse, Rat
Host Rabbit
Applications IHC

 

Product Details

Isotype IgG
Host Rabbit
Reactivity Human, Mouse, Rat
Applications IHC
Clonality Polyclonal
Immunogen Fusion protein of human SPRTN
Abbre SPRTN
Synonyms C1orf124,  CA124,  Chromosome 1 open reading frame 124 ,  DDDL1880,  PRO4323,  RP5-876B10.3,  Spartan,  SprT-like N-terminal domain,  SprT-like domain at the N terminus,  Zinc finger RAD18 domain-containing protein C1orf124,  dJ876B10.3
Swissprot
Concentration 1 mg/mL
Buffer Phosphate buffered solution, pH 7.4, containing 0.05% stabilizer and 50% glycerol.
Purification Method Antigen affinity purification
Research Areas Epigenetics and Nuclear Signaling
Conjugation Unconjugated
Storage Store at -20°C Valid for 12 months. Avoid freeze / thaw cycles.
Shipping The product is shipped with ice pack, upon receipt, store it immediately at the temperature recommended.

 

Related Reagents

Applications Recommended Dilution
IHC 1:50-1:300

 

Background

The protein encoded by this gene may play a role in DNA repair during replication of damaged DNA. This protein recruits valosin containing protein (p97) to stalled DNA replication forks where it may prevent excessive translesional DNA synthesis and limit the number of DNA-damage induced mutations. It may also be involved in replication-related G2/M-checkpoint regulation. Deficiency of a similar protein in mouse causes chromosomal instability and progeroid phenotypes. Mutations in this gene have been associated with Ruijs-Aalfs syndrome (RJALS). Alternatively spliced transcript variants have been identified.