Warehouse Overstock Promotion |  Save 10%  on Premium Lab Supplies |  Shop Now

Menu

This product has been added to the cart.

SNP23 Polyclonal Antibody

SKU: E-AB-40243-200

  • $ 54295
  • Save $ 3800


Request a Quote

SNP23 Polyclonal Antibody

 

SKU # E-AB-40243
Reactivity Human
Host Rabbit
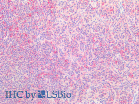
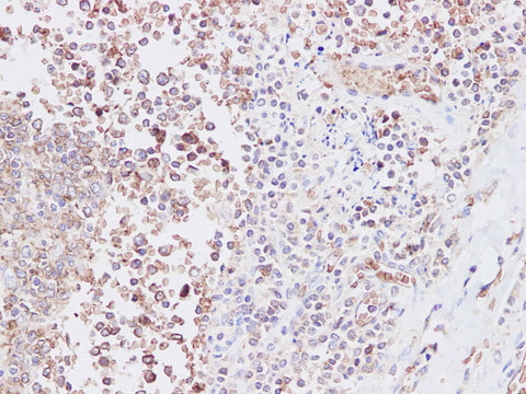
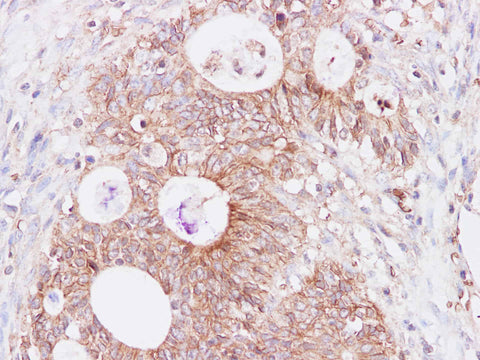
Applications WB, IHC

 

Product Details

Isotype IgG
Host Rabbit
Reactivity Human
Applications WB, IHC
Clonality Polyclonal
Immunogen Recombinant Human SNP23 protein expressed by E.coli
Abbre SNAP23
Synonyms HsT17016,  LS-B8340,  SNAP 23,  SNAP-23,  SNAP23A,  SNAP23B,  Synaptosomal associated protein 23,  Vesicle membrane fusion protein SNAP 23
Swissprot
Calculated MW 23 kDa
Observed MW 23 kDa
Cellular Localization Cell membrane
Concentration 1 mg/mL
Buffer PBS with 0.05% proclin 300, 1% protective protein and 50% glycerol,pH7.4
Purification Method Antigen Affinity Purification
Research Areas Cancer,  Neuroscience
Conjugation Unconjugated
Storage Store at -20°C Valid for 12 months. Avoid freeze / thaw cycles.
Shipping The product is shipped with ice pack, upon receipt, store it immediately at the temperature recommended.

 

Related Reagents

Applications Recommended Dilution
WB 1:250-1:500
IHC 1:50-1:200

 

Background

Specificity of vesicular transport is regulated, in part, by the interaction of a vesicle-associated membrane protein termed synaptobrevin/VAMP with a target compartment membrane protein termed syntaxin. These proteins, together with SNAP25 (synaptosome-associated protein of 25 kDa), form a complex which serves as a binding site for the general membrane fusion machinery.