Warehouse Overstock Promotion |  Save 10%  on Premium Lab Supplies |  Shop Now

Menu

This product has been added to the cart.

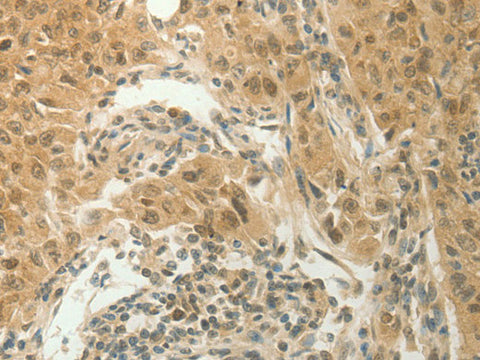
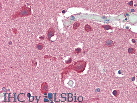
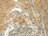
SLC8A3 Polyclonal Antibody Store at -20°C

SKU: E-AB-12798-200

  • $ 55995
  • Save $ 4000


Request a Quote

SLC8A3 Polyclonal Antibody Store at -20°C

 

SKU # E-AB-12798
Reactivity Human
Host Rabbit
Applications IHC

 

Product Details

Isotype IgG
Host Rabbit
Reactivity Human
Applications IHC
Clonality Polyclonal
Immunogen Synthetic peptide of human SLC8A3
Abbre SLC8A3
Synonyms AW742262,  MGC90626,  NAC3,  NCX3,  Na+/Ca2+ exchange protein 3,  Na+/Ca2+ exchanger 3,  SCL8A3,  Sodium calcium exchanger form 3,  Sodium/calcium exchanger 3,  Sodium/calcium exchanger SLC8A3,  Solute carrier family 8 sodium calcium exchanger member 3
Swissprot
Cellular Localization Membrane, Multi-pass membrane protein.
Concentration 0.5 mg/mL
Buffer Phosphate buffered solution, pH 7.4, containing 0.05% stabilizer and 50% glycerol.
Purification Method Affinity purification
Research Areas Metabolism,  Signal Transduction
Conjugation Unconjugated
Storage Store at -20°C Valid for 12 months. Avoid freeze / thaw cycles.
Shipping The product is shipped with ice pack,upon receipt,store it immediately at the temperature recommended.

 

Related Reagents

Applications Recommended Dilution
IHC 1:100-1:300

 

Background

This gene encodes a member of the sodium/calcium exchanger integral membrane protein family. Three mammalian isoforms in family 8 have been identified. Na+/Ca2+ exchange proteins are involved in maintaining Ca2+ homeostasis in a wide variety of cell types. The protein is regulated by intracellular calcium ions and is found in both the plasma membrane and intracellular organellar membranes, where exchange of Na+ for Ca2+ occurs in an electrogenic manner. Alternative splicing has been observed for this gene and multiple variants have been described.