Warehouse Overstock Promotion |  Save 10%  on Premium Lab Supplies |  Shop Now

Menu

This product has been added to the cart.

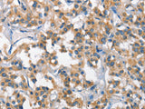
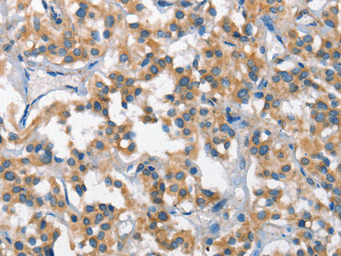
SCARB1 Polyclonal Antibody Store at -20°C

SKU: E-AB-14121-200

  • $ 33995
  • Save $ 6000


Request a Quote

SCARB1 Polyclonal Antibody Store at -20°C

 

SKU # E-AB-14121
Reactivity Human
Host Rabbit
Applications IHC

 

Product Details

Isotype IgG
Host Rabbit
Reactivity Human
Applications IHC
Clonality Polyclonal
Immunogen Recombinant protein of human SCARB1
Abbre SCARB1
Synonyms CD36,  CD36 Antigen like 1,  CD36 and LIMPII analogous 1,  CD36 antigen-like 1,  CD36L1,  CLA 1,  CLA-1,  CLA1,  Collagen type I receptor,  HDLQTL6,  MGC138242,  SC,  SCARB1,  Scavebger Receptor Class B Member 1,  Scavenger Receptor Class B Type 1,  Scavenger receptor class B member 1
Swissprot
Cellular Localization Cell membrane. Membrane>caveola. Predominantly localized to cholesterol and sphingomyelin-enriched domains within the plasma membrane, called caveolae.
Concentration 0.8 mg/mL
Buffer Phosphate buffered solution, pH 7.4, containing 0.05% stabilizer and 50% glycerol.
Purification Method Affinity purification
Research Areas Cancer,  Cardiovascular,  Metabolism,  Microbiology,  Signal Transduction
Conjugation Unconjugated
Storage Store at -20°C Valid for 12 months. Avoid freeze / thaw cycles.
Shipping The product is shipped with ice pack,upon receipt,store it immediately at the temperature recommended.

 

Related Reagents

Applications Recommended Dilution
IHC 1:50-1:200

 

Background

The protein encoded by this gene is a plasma membrane receptor for high density lipoprotein cholesterol (HDL). The encoded protein mediates cholesterol transfer to and from HDL. In addition, this protein is a receptor for hepatitis C virus glycoprotein E2. Two transcript variants encoding different isoforms have been found for this gene.