Warehouse Overstock Promotion |  Save 10%  on Premium Lab Supplies |  Shop Now

Menu

This product has been added to the cart.

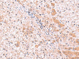
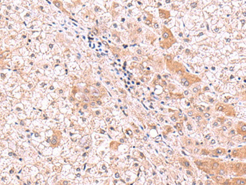
RIC8A Polyclonal Antibody Reactivity Human

SKU: E-AB-52943-200

  • $ 55995
  • Save $ 4000


Request a Quote

RIC8A Polyclonal Antibody Reactivity Human

 

SKU # E-AB-52943
Reactivity Human, Mouse, Rat
Host Rabbit
Applications IHC

 

Product Details

Isotype IgG
Host Rabbit
Reactivity Human, Mouse, Rat
Applications IHC
Clonality Polyclonal
Immunogen Fusion protein of human RIC8A
Abbre RIC8A
Synonyms MGC104517,  MGC131931,  MGC148073,  MGC148074,  Protein Ric-8A,  RIC8,  RIC8A,  Synembryn-A,  resistance to inhibitors of cholinesterase 8 homolog A (C. elegans)
Swissprot
Cellular Localization Cytoplasm. Cell membrane. Colocalizes with RIC8A in CA2 hippocampal neurons. Colocalizes with GNAI1 and RGS14 at the plasma membrane (By similarity).
Concentration 1.44 mg/mL
Buffer Phosphate buffered solution, pH 7.4, containing 0.05% stabilizer and 50% glycerol.
Purification Method Antigen affinity purification
Research Areas Cancer,  Signal transduction
Conjugation Unconjugated
Storage Store at -20°C Valid for 12 months. Avoid freeze / thaw cycles.
Shipping The product is shipped with ice pack, upon receipt, store it immediately at the temperature recommended.

 

Related Reagents

Applications Recommended Dilution
IHC 1:50-1:300

 

Background

Guanine nucleotide exchange factor (GEF), which can activate some, but not all, G-alpha proteins. Able to activate GNAI1, GNAO1 and GNAQ, but not GNAS by exchanging bound GDP for free GTP. Involved in regulation of microtubule pulling forces during mitotic movement of chromosomes by stimulating G(i)-alpha protein, possibly leading to release G(i)-alpha-GTP and NuMA proteins from the NuMA-GPSM2-G(i)-alpha-GDP complex (By similarity). Also acts as an activator for G(q)-alpha (GNAQ) protein by enhancing the G(q)-coupled receptor-mediated ERK activation.