Warehouse Overstock Promotion |  Save 10%  on Premium Lab Supplies |  Shop Now

Menu

This product has been added to the cart.

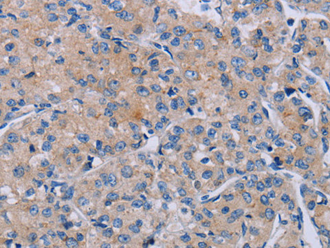
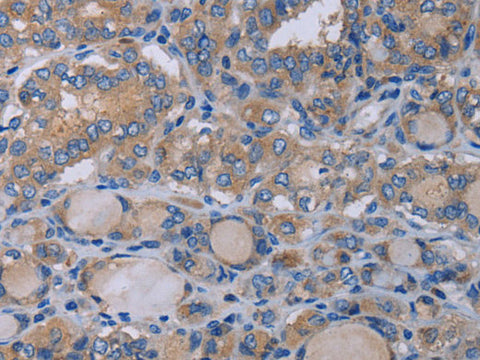
P2RX3 Polyclonal Antibody Store at -20°C

SKU: E-AB-13478-200

  • $ 55995
  • Save $ 4000


Request a Quote

P2RX3 Polyclonal Antibody Store at -20°C

 

SKU # E-AB-13478
Reactivity Human
Host Rabbit
Applications WB, IHC

 

Product Details

Isotype IgG
Host Rabbit
Reactivity Human
Applications WB, IHC
Clonality Polyclonal
Immunogen Synthetic peptide of human P2RX3
Abbre P2RX3
Synonyms ATP receptor,  MGC129956,  P2RX3,  P2X purinoceptor 3,  P2X receptor subunit 3,  P2X3,  P2rx3,  Purinergic receptor,  Purinergic receptor P2X ligand gated ion channel 3,  Purinergic receptor P2X3,  Purinoceptor P2X3
Swissprot
Calculated MW 44 kDa
Cellular Localization Membrane.
Concentration 0.6 mg/mL
Buffer Phosphate buffered solution, pH 7.4, containing 0.05% stabilizer and 50% glycerol.
Purification Method Affinity purification
Research Areas Cancer,  Metabolism,  Neuroscience
Conjugation Unconjugated
Storage Store at -20°C Valid for 12 months. Avoid freeze / thaw cycles.
Shipping The product is shipped with ice pack, upon receipt, store it immediately at the temperature recommended.

 

Related Reagents

Applications Recommended Dilution
WB 1:200-1:1000
IHC  1:25-1:100

 

Background

The product of this gene belongs to the family of purinoceptors for ATP. This receptor functions as a ligand-gated ion channel and may transduce ATP-evoked nociceptor activation. Mouse studies suggest that this receptor is important for peripheral pain responses, and also participates in pathways controlling urinary bladder volume reflexes. It is possible that the development of selective antagonists for this receptor may have a therapeutic potential in pain relief and in the treatment of disorders of urine storage.