Warehouse Overstock Promotion |  Save 10%  on Premium Lab Supplies |  Shop Now

Menu

This product has been added to the cart.

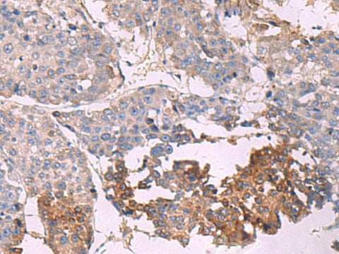
NIPSNAP1 Polyclonal Antibody Reactivity Mouse

SKU: E-AB-52088-200

  • $ 55995
  • Save $ 4000


Request a Quote

NIPSNAP1 Polyclonal Antibody Reactivity Mouse

 

SKU # E-AB-52088
Reactivity Human, Mouse
Host Rabbit
Applications IHC

 

Product Details

Isotype IgG
Host Rabbit
Reactivity Human, Mouse
Applications IHC
Clonality Polyclonal
Immunogen Synthetic peptide of human NIPSNAP1
Abbre NIPSNAP1
Synonyms NIPSNAP 1,  Nipsnap homolog 1 (C. elegans),  Protein NipSnap homolog 1
Swissprot
Cellular Localization Mitochondrial
Concentration 0.96 mg/mL
Buffer Phosphate buffered solution, pH 7.4, containing 0.05% stabilizer and 50% glycerol.
Purification Method Antigen affinity purification
Research Areas Cancer,  Signal transduction
Conjugation Unconjugated
Storage Store at -20°C Valid for 12 months. Avoid freeze / thaw cycles.
Shipping The product is shipped with ice pack, upon receipt, store it immediately at the temperature recommended.

 

Related Reagents

Applications Recommended Dilution
IHC 1:30-1:150

 

Background

This gene encodes a member of the NipSnap family of proteins that may be involved in vesicular transport. A similar protein in mice inhibits the calcium channel TRPV6, and is also localized to the inner mitochondrial membrane where it may play a role in mitochondrial DNA maintenance. A pseudogene of this gene is located on the short arm of chromosome 17. Alternatively spliced transcript variants encoding multiple isoforms have been observed for this gene.