Warehouse Overstock Promotion |  Save 10%  on Premium Lab Supplies |  Shop Now

Menu

This product has been added to the cart.

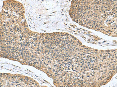
NFS1 Polyclonal Antibody Reactivity Human

SKU: E-AB-53070-200

  • $ 55995
  • Save $ 4000


Request a Quote

NFS1 Polyclonal Antibody Reactivity Human

 

SKU # E-AB-53070
Reactivity Human, Mouse
Host Rabbit
Applications IHC

 

Product Details

Isotype IgG
Host Rabbit
Reactivity Human, Mouse
Applications WB, IHC
Clonality Polyclonal
Immunogen Fusion protein of human NFS1
Abbre NFS1
Synonyms homolog),   mitochondrial ,  Cysteine desulfurase,  HUSSY 08 ,  IscS,  NFS1,  NFS1 nitrogen fixation 1,  NFS1 nitrogen fixation 1 homolog (S. cerevisiae),  NIFS,  mitochondrial,  nitrogen fixation 1 (S. cerevisiae,  nitrogen fixation gene 1,  nitrogen-
Swissprot
Calculated MW 50 kDa
Observed MW Refer to figures
Cellular Localization Cytoplasm. Nucleus and Mitochondrion.
Concentration 1.74 mg/mL
Buffer Phosphate buffered solution, pH 7.4, containing 0.05% stabilizer and 50% glycerol.
Purification Method Antigen affinity purification
Research Areas Metabolism,  Signal transduction
Conjugation Unconjugated
Storage Store at -20°C Valid for 12 months. Avoid freeze / thaw cycles.
Shipping The product is shipped with ice pack, upon receipt,store it immediately at the temperature recommended.

 

Related Reagents

Applications Recommended Dilution
WB 1:1000-1:5000
IHC 1:100-1:200

 

Background

Iron-sulfur clusters are required for the function of many cellular enzymes. The proteins encoded by this gene supply inorganic sulfur to these clusters by removing the sulfur from cysteine, creating alanine in the process. This gene uses alternate in-frame translation initiation sites to generate mitochondrial forms and cytoplasmic/nuclear forms. Selection of the alternative initiation sites is determined by the cytosolic pH. The encoded proteins belong to the class-V family of pyridoxal phosphate-dependent aminotransferases. Alternatively spliced transcript variants have been described.