Warehouse Overstock Promotion |  Save 10%  on Premium Lab Supplies |  Shop Now

Menu

This product has been added to the cart.

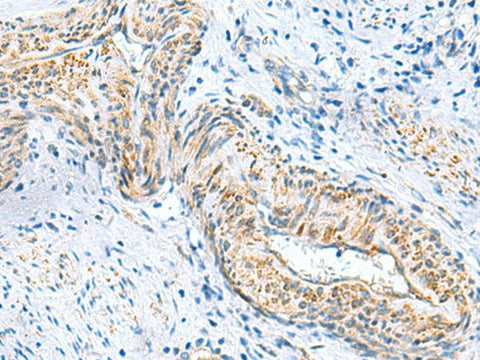
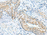
MYL1 Polyclonal Antibody Reactivity Human

SKU: E-AB-53047-200

  • $ 55995
  • Save $ 4000


Request a Quote

MYL1 Polyclonal Antibody Reactivity Human

 

SKU # E-AB-53047
Reactivity Human, Mouse, Rat
Host Rabbit
Applications IHC

 

Product Details

Isotype IgG
Host Rabbit
Reactivity Human, Mouse, Rat
Applications IHC
Clonality Polyclonal
Immunogen Fusion protein of human MYL1
Abbre MYL1
Synonyms skeletal muscle isoform,  A1 catalytic,  Alkali myosin light chain 1,  MLC1/MLC3,  MLC1F,  MLC1F/MLC3F,  MLC3F,  MYL1,  Myl1,  Myosin light chain 1 skeletal muscle isoform,  Myosin light chain 1/3,  Myosin light chain A1/A2,  Myosin light chain alkali 1/2
Swissprot
Concentration 1.32 mg/mL
Buffer Phosphate buffered solution, pH 7.4, containing 0.05% stabilizer and 50% glycerol.
Purification Method Antigen affinity purification
Research Areas Signal Transduction
Conjugation Unconjugated
Storage Store at -20°C Valid for 12 months. Avoid freeze / thaw cycles.
Shipping The product is shipped with ice pack, upon receipt, store it immediately at the temperature recommended.

 

Related Reagents

Applications Recommended Dilution
IHC 1:50-1:200

 

Background

Myosin is a hexameric ATPase cellular motor protein. It is composed of two heavy chains, two nonphosphorylatable alkali light chains, and two phosphorylatable regulatory light chains. This gene encodes a myosin alkali light chain expressed in fast skeletal muscle. Two transcript variants have been identified for this gene.