Warehouse Overstock Promotion |  Save 10%  on Premium Lab Supplies |  Shop Now

Menu

This product has been added to the cart.

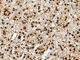
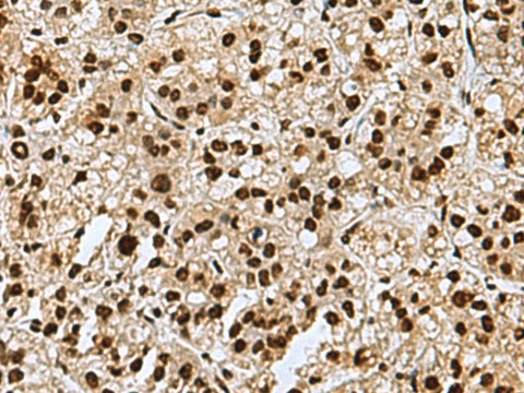
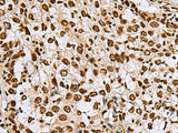
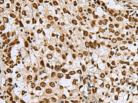
MYEF2 Polyclonal Antibody Reactivity Human

SKU: E-AB-53086-200

  • $ 55995
  • Save $ 4000


Request a Quote

MYEF2 Polyclonal Antibody Reactivity Human

 

SKU # E-AB-53086
Reactivity Human, Mouse
Host Rabbit
Applications WB, IHC

 

Product Details

Isotype IgG
Host Rabbit
Reactivity Human, Mouse
Applications WB, IHC
Clonality Polyclonal
Immunogen Fusion protein of human MYEF2
Abbre MYEF2
Synonyms KIAA1341,  MEF 2,  MST156,  MYEF 2,  MYEF2,  Myelin expression factor 2
Swissprot
Calculated MW 64 kDa
Observed MW Refer to figures
Cellular Localization Nuclear
Concentration 1.26 mg/mL
Buffer Phosphate buffered solution, pH 7.4, containing 0.05% stabilizer and 50% glycerol.
Purification Method Antigen affinity purification
Research Areas Cancer,  Epigenetics and Nuclear Signaling
Conjugation Unconjugated
Storage Store at -20°C Valid for 12 months. Avoid freeze / thaw cycles.
Shipping The product is shipped with ice pack, upon receipt, store it immediately at the temperature recommended.

 

Related Reagents

Applications Recommended Dilution
WB 1:500-1:2000
IHC 1:50-1:200

 

Background

Transcriptional repressor of the myelin basic protein gene (MBP). Binds to the proximal MB1 element 5'-TTGTCC-3' of the MBP promoter. Its binding to MB1 and function are inhibited by PURA (By similarity).