Warehouse Overstock Promotion |  Save 10%  on Premium Lab Supplies |  Shop Now

Menu

This product has been added to the cart.

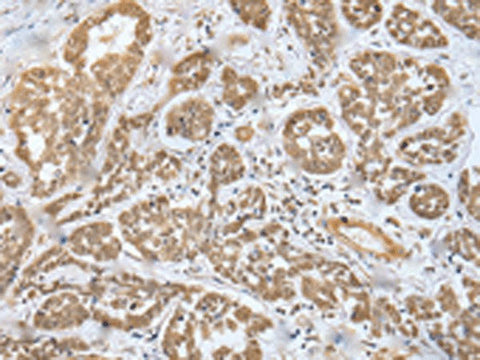
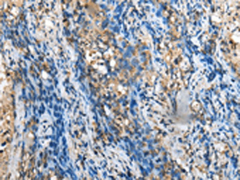
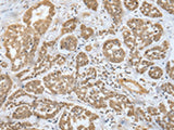
MOB4 Polyclonal Antibody Reactivity Human

SKU: E-AB-52342-200

  • $ 55995
  • Save $ 4000


Request a Quote

MOB4 Polyclonal Antibody Reactivity Human

 

SKU # E-AB-52342
Reactivity Human, Mouse, Rat
Host Rabbit
Applications WB, IHC

 

Product Details

Isotype IgG
Host Rabbit
Reactivity Human, Mouse, Rat
Applications WB, IHC
Clonality Polyclonal
Immunogen Full length fusion protein
Abbre MOB4
Synonyms Mps One Binder kinase activator like 3,   phocein,  2C4D,  CGI 95 ,  MGC12264,  MOB family member 4,  MOB like protein phocein,  MOB1,  MOB4,  MOBKL3,  MOBL3,  Mob3,  Mps one binder kinase activator-like ,  class II mMOB1,  mob1 homolog 3,  mps one binder kinase activator like 3
Swissprot
Calculated MW 26 kDa
Observed MW Refer to figures
Cellular Localization Cytoplasm>perinuclear region. Membrane. Golgi apparatus>Golgi stack membrane. In a perinuclear punctate pattern. Associated with membranes and the Golgi stacks.
Concentration 1 mg/mL
Buffer Phosphate buffered solution, pH 7.4, containing 0.05% stabilizer and 50% glycerol.
Purification Method Antigen affinity purification
Research Areas Cancer,  Developmental biology,  Signal transduction,  Stem cells
Conjugation Unconjugated
Storage Store at -20°C Valid for 12 months. Avoid freeze / thaw cycles.
Shipping The product is shipped with ice pack, upon receipt, store it immediately at the temperature recommended.

 

Related Reagents

Applications Recommended Dilution
WB 1:500-1:2000
IHC 1:25-1:100

 

Background

This gene was identified based on its similarity with the mouse counterpart. Studies of the mouse counterpart suggest that the expression of this gene may be regulated during oocyte maturation and preimplantation following zygotic gene activation. Alternatively spliced transcript variants encoding distinct isoforms have been observed. Naturally occurring read-through transcription occurs between this locus and the neighboring locus HSPE1.