Warehouse Overstock Promotion |  Save 10%  on Premium Lab Supplies |  Shop Now

Menu

This product has been added to the cart.

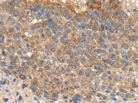
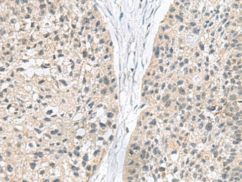
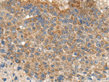
MIA Polyclonal Antibody Reactivity Human

SKU: E-AB-53035-200

  • $ 55995
  • Save $ 4000


Request a Quote

MIA Polyclonal Antibody Reactivity Human

 

SKU # E-AB-53035
Reactivity Human, Mouse, Rat
Host Rabbit
Applications IHC

 

Product Details

Isotype IgG
Host Rabbit
Reactivity Human, Mouse, Rat
Applications IHC
Clonality Polyclonal
Immunogen Fusion protein of human MIA
Abbre MIA
Synonyms CD RAP,  CDRAP,  Cartilage derived retinoic acid sensitive protein,  MIA,  Melanoma derived growth regulatory protein precursor,  Melanoma inhibitory activity protein,  Melanoma-derived growth regulatory protein,  Mia
Swissprot
Cellular Localization Secreted.
Concentration 1.56 mg/mL
Buffer Phosphate buffered solution, pH 7.4, containing 0.05% stabilizer and 50% glycerol.
Purification Method Antigen affinity purification
Research Areas Cancer,  Immunology,  Signal Transduction
Conjugation Unconjugated
Storage Store at -20°C Valid for 12 months. Avoid freeze / thaw cycles.
Shipping The product is shipped with ice pack, upon receipt, store it immediately at the temperature recommended.

 

Related Reagents

Applications Recommended Dilution
IHC 1:200-1:300

 

Background

MIA (Melanoma Inhibitory Activity) is a Protein Coding gene. Diseases associated with MIA include Melanoma and Skin Melanoma. Among its related pathways are Neural Crest Differentiation. GO annotations related to this gene include growth factor activity. An important paralog of this gene is MIA-RAB4B.