Warehouse Overstock Promotion |  Save 10%  on Premium Lab Supplies |  Shop Now

Menu

This product has been added to the cart.

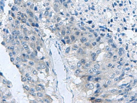
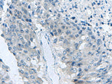
MED31 Polyclonal Antibody Reactivity Human

SKU: E-AB-53034-200

  • $ 55995
  • Save $ 4000


Request a Quote

MED31 Polyclonal Antibody Reactivity Human

 

SKU # E-AB-53034
Reactivity Human, Mouse
Host Rabbit
Applications IHC

 

Product Details

Isotype IgG
Host Rabbit
Reactivity Human, Mouse
Applications IHC
Clonality Polyclonal
Immunogen Fusion protein of human MED31
Abbre MED31
Synonyms CGI-125,  Mediator complex subunit 31,  Mediator complex subunit SOH1,  Mediator of RNA polymerase II transcription subunit 31,  Mediator of RNA polymerase II transcription subunit 31 homolog,  SOH1,  hSOH1
Swissprot
Cellular Localization Nuclear
Concentration 1.2 mg/mL
Buffer Phosphate buffered solution, pH 7.4, containing 0.05% stabilizer and 50% glycerol.
Purification Method Antigen affinity purification
Research Areas Epigenetics and Nuclear Signaling
Conjugation Unconjugated
Storage Store at -20°C Valid for 12 months. Avoid freeze / thaw cycles.
Shipping The product is shipped with ice pack, upon receipt, store it immediately at the temperature recommended.

 

Related Reagents

Applications Recommended Dilution
IHC 1:100-1:200

 

Background

Component of the Mediator complex, a coactivator involved in the regulated transcription of nearly all RNA polymerase II-dependent genes. Mediator functions as a bridge to convey information from gene-specific regulatory proteins to the basal RNA polymerase II transcription machinery. Mediator is recruited to promoters by direct interactions with regulatory proteins and serves as a scaffold for the assembly of a functional preinitiation complex with RNA polymerase II and the general transcription factors.