Warehouse Overstock Promotion |  Save 10%  on Premium Lab Supplies |  Shop Now

Menu

This product has been added to the cart.

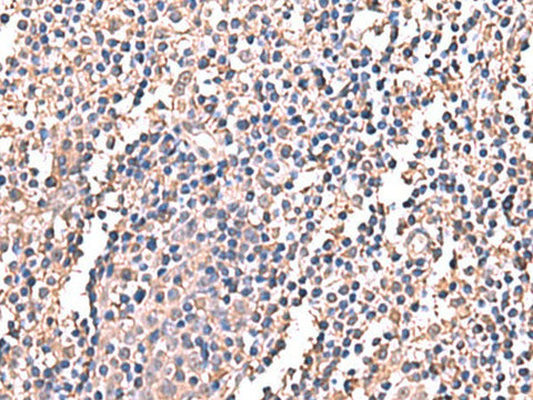
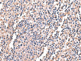
LDHAL6B Polyclonal Antibody Reactivity Human

SKU: E-AB-52924-200

  • $ 55995
  • Save $ 4000


Request a Quote

LDHAL6B Polyclonal Antibody Reactivity Human

 

SKU # E-AB-52924
Reactivity Human
Host Rabbit
Applications IHC

 

Product Details

Isotype IgG
Host Rabbit
Reactivity Human
Applications IHC
Clonality Polyclonal
Immunogen Fusion protein of human LDHAL6B
Abbre LDHAL6B
Synonyms L lactate dehydrogenase A like 6B,  L-lactate dehydrogenase A-like 6B,  LDH6B,  LDHAL6,  LDHAL6B,  LDHL,  lactate dehydrogenase A like,  lactate dehydrogenase A like 6
Swissprot
Concentration 1.02 mg/mL
Buffer Phosphate buffered solution, pH 7.4, containing 0.05% stabilizer and 50% glycerol.
Purification Method Antigen affinity purification
Research Areas Cancer,  Metabolism,  Signal transduction
Conjugation Unconjugated
Storage Store at -20°C Valid for 12 months. Avoid freeze / thaw cycles.
Shipping The product is shipped with ice pack, upon receipt, store it immediately at the temperature recommended.

 

Related Reagents

Applications Recommended Dilution
IHC 1:50-1:300

 

Background

LDHAL6B belongs to the LDH/MDH superfamily. LDH family. The specific function of the protein remains unknown.