Warehouse Overstock Promotion |  Save 10%  on Premium Lab Supplies |  Shop Now

Menu

This product has been added to the cart.

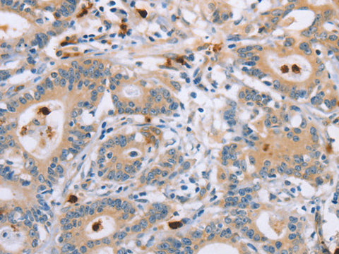
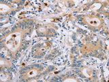
KLK4 Polyclonal Antibody Store at -20°C

SKU: E-AB-14180-200

  • $ 55995
  • Save $ 4000


Request a Quote

KLK4 Polyclonal Antibody Store at -20°C

 

SKU # E-AB-14180
Reactivity Human
Host Rabbit
Applications IHC

 

Product Details

Isotype IgG
Host Rabbit
Reactivity Human
Applications IHC
Clonality Polyclonal
Immunogen Recombinant protein of human KLK4
Abbre KLK4
Synonyms 7S nerve growth factor alpha chain,  AI2A1,  ARM1,  Alpha-NGF,  Androgen-regulated message 1,  EC 3.4.21.-,  EMSP,  EMSP 1,  EMSP1,  Enamel Matrix Serine Protease 1,  Enamel matrix serine proteinase 1,  HK4,  Kallikrein 1-related peptidase-like b4,  Kallikrein 4 (prostase,  enamel m
Swissprot
Cellular Localization Secreted.
Concentration 0.2 mg/mL
Buffer Phosphate buffered solution, pH 7.4, containing 0.05% stabilizer and 50% glycerol.
Purification Method Affinity purification
Research Areas Cancer,  Cell Biology,  Signal Transduction
Conjugation Unconjugated
Storage Store at -20°C Valid for 12 months. Avoid freeze / thaw cycles.
Shipping The product is shipped with ice pack,upon receipt,store it immediately at the temperature recommended.

 

Related Reagents

Applications Recommended Dilution
IHC 1:25-1:100

 

Background

Kallikreins are a subgroup of serine proteases having diverse physiological functions. Growing evidence suggests that many kallikreins are implicated in carcinogenesis and some have potential as novel cancer and other disease biomarkers. This gene is one of the fifteen kallikrein subfamily members located in a cluster on chromosome 19. In some tissues its expression is hormonally regulated. The expression pattern of a similar mouse protein in murine developing teeth supports a role for the protein in the degradation of enamel proteins. Alternate splice variants for this gene have been described, but their biological validity has not been determined.