Warehouse Overstock Promotion |  Save 10%  on Premium Lab Supplies |  Shop Now

Menu

This product has been added to the cart.

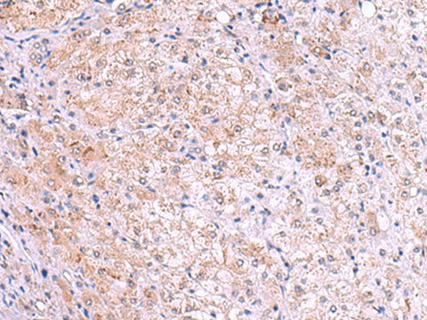
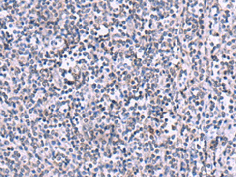
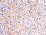
KIR3DL1 Polyclonal Antibody Reactivity Human

SKU: E-AB-52955-200

  • $ 55995
  • Save $ 4000


Request a Quote

KIR3DL1 Polyclonal Antibody Reactivity Human

 

SKU # E-AB-52955
Reactivity Human
Host Rabbit
Applications WB, IHC

 

Product Details

Isotype IgG
Host Rabbit
Reactivity Human
Applications WB,  IHC
Clonality Polyclonal
Immunogen Fusion protein of human KIR3DL1
Abbre KIR3DL1
Synonyms AMB11,  CD158 antigen-like family member E,  CD158E1,  CD158E1/2,  CD158E2,  CD158e,  CD158e antigen,  CL11,  CL2,  HLA-BW4-specific inhibitory NK cell receptor,  KI3L1,  Killer cell immunoglobulin like receptor three domains,  killer cell immunoglobulin like receptor,  short cyto
Swissprot
Calculated MW 49 kDa
Observed MW Refer to figures
Cellular Localization Cell membrane.
Concentration 1.86 mg/mL
Buffer Phosphate buffered solution, pH 7.4, containing 0.05% stabilizer and 50% glycerol.
Purification Method Antigen affinity purification
Research Areas Immunology
Conjugation Unconjugated
Storage Store at -20°C Valid for 12 months. Avoid freeze / thaw cycles.
Shipping The product is shipped with ice pack, upon receipt, store it immediately at the temperature recommended.

 

Related Reagents

Applications Recommended Dilution
WB  1:1000-1:5000
IHC 1:50-1:300

 

Background

Killer cell immunoglobulin-like receptors (KIRs) are transmembrane glycoproteins expressed by natural killer cells and subsets of T cells. The KIR genes are polymorphic and highly homologous and they are found in a cluster on chromosome 19q13.4 within the 1 Mb leukocyte receptor complex (LRC). The gene content of the KIR gene cluster varies among haplotypes, although several "framework" genes are found in all haplotypes (KIR3DL3, KIR3DP1, KIR3DL4, KIR3DL2). The KIR proteins are classified by the number of extracellular immunoglobulin domains (2D or 3D) and by whether they have a long (L) or short (S) cytoplasmic domain. KIR proteins with the long cytoplasmic domain transduce inhibitory signals upon ligand binding via an immune tyrosine-based inhibitory motif (ITIM), while KIR proteins with the short cytoplasmic domain lack the ITIM motif and instead associate with the TYRO protein tyrosine kinase binding protein to transduce activating signals. The ligands for several KIR proteins are subsets of HLA class I molecules; thus, KIR proteins are thought to play an important role in regulation of the immune response.