Warehouse Overstock Promotion |  Save 10%  on Premium Lab Supplies |  Shop Now

Menu

This product has been added to the cart.

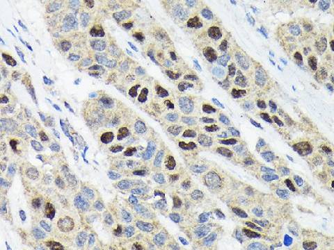
Ki67 Polyclonal Antibody

SKU: E-AB-93367-200

  • $ 67795
  • Save $ 5300


Request a Quote

Ki67 Polyclonal Antibody

 

SKU # E-AB-93367
Reactivity Human
Host Rabbit
Applications IHC

 

Product Details

Isotype IgG
Host Rabbit
Reactivity Human
Applications IHC
Clonality Polyclonal
Immunogen Recombinant fusion protein of human Ki67
Abbre Ki67
Synonyms KIA, Ki67, MIB-, MIB-1, MKI67, PPP1R105, marker of proliferation Ki-67
Swissprot
Calculated MW 319 kDa/358 kDa
Observed MW Refer to figures
Cellular Localization Chromosome, Nucleus, nucleolus.
Concentration 1 mg/mL
Buffer Phosphate buffered solution, pH 7.4, containing 0.05% stabilizer and 50% glycerol.
Purification Method Affinity purification
Research Areas Cancer,  Cell Biology,  Neuroscience,  Tags and Cell Markers
Conjugation Unconjugated
Storage Store at -20°C Valid for 12 months. Avoid freeze / thaw cycles.
Shipping The product is shipped with ice pack,upon receipt,store it immediately at the temperature recommended.

 

Related Reagents

Applications Recommended Dilution
IHC 1:50-1:200

 

Background

This gene encodes a nuclear protein that is associated with and may be necessary for cellular proliferation. Alternatively spliced transcript variants have been described. A related pseudogene exists on chromosome X.