Warehouse Overstock Promotion |  Save 10%  on Premium Lab Supplies |  Shop Now

Menu

This product has been added to the cart.

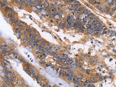
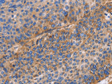
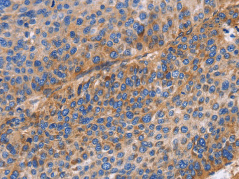
ITGB1 Polyclonal Antibody Store at -20°C

SKU: E-AB-10403-200

  • $ 33995
  • Save $ 6000


Request a Quote

ITGB1 Polyclonal Antibody Store at -20°C

 

SKU # E-AB-10403
Reactivity Human, Mouse, Rat
Host Rabbit
Applications WB, IHC

 

Product Details

Isotype IgG
Host Rabbit
Reactivity Human,  Mouse,  Rat
Applications WB,  IHC
Clonality Polyclonal
Immunogen Recombinant protein of human ITGB1
Abbre ITGB1
Synonyms CD29,  FNRB,  Fibronectin receptor subunit beta,  GP IIa,  GPIIA,  Glycoprotein IIa,  ITB1,  ITGB,  Integrin,  Integrin beta-1,  Integrin subunit beta 1,  MSK12),  antigen CD29 includes MDF2,  beta 1 (fibronectin receptor,  beta polypeptide,  beta1 integrin,  integrin VLA-4 beta subunit
Swissprot
Calculated MW 88 kDa
Cellular Localization Cell membrane, sarcolemma. Cell junction. In cardiac muscle, isoform 5 is found in costameres and intercalated disks and Cell membrane. Cell projection, invadopodium membrane. Cell projection, ruffle membrane. Recycling endosome. Melanosome. Cleavage furrow. Cell projection, lamellipodium. Cell projection, ruffle. Cell junction, focal adhesion. Cell surface. Isoform 2 does not localize to focal adhesions. Highly enriched in stage I melanosomes. Located on plasma membrane of neuroblastoma NMB7 cells. In a lung cancer cell line, in prometaphase and metaphase, localizes diffusely at the membrane and in a few intracellular vesicles. In early telophase, detected mainly on the matrix-facing side of the cells. By mid-telophase, concentrated to the ingressing cleavage furrow, mainly to the basal side of the furrow. In late telophase, concentrated to the extending protrusions formed at the opposite ends of the spreading daughter cells, in vesicles at the base of the lamellipodia formed by the separating daughter cells. Colocalizes with ITGB1BP1 and metastatic suppressor protein NME2 at the edge or peripheral ruffles and lamellipodia during the early stages of cell spreading on fibronectin or collagen. Translocates from peripheral focal adhesions sites to fibrillar adhesions in a ITGB1BP1-dependent manner. Enriched preferentially at invadopodia, cell membrane protrusions that correspond to sites of cell invasion, in a collagen-dependent manner. Localized at plasma and ruffle membranes in a collagen-independent manner.
Concentration 0.5 mg/mL
Buffer Phosphate buffered solution, pH 7.4, containing 0.05% stabilizer and 50% glycerol.
Purification Method Affinity purification
Research Areas Cancer,  Developmental Biology,  Microbiology,  Neuroscience,  Signal Transduction,  Stem Cells
Conjugation Unconjugated
Storage Store at -20°C Valid for 12 months. Avoid freeze / thaw cycles.
Shipping The product is shipped with ice pack,upon receipt,store it immediately at the temperature recommended.

 

Related Reagents

Applications Recommended Dilution
WB 1:500-1:2000
IHC 1:50-1:200

 

Background

Integrins are heterodimeric proteins made up of alpha and beta subunits. At least 18 alpha and 8 beta subunits have been described in mammals. Integrin family members are membrane receptors involved in cell adhesion and recognition in a variety of processes including embryogenesis, hemostasis, tissue repair, immune response and metastatic diffusion of tumor cells. This gene encodes a beta subunit. Multiple alternatively spliced transcript variants which encode different protein isoforms have been found for this gene.