Warehouse Overstock Promotion |  Save 10%  on Premium Lab Supplies |  Shop Now

Menu

This product has been added to the cart.

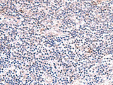
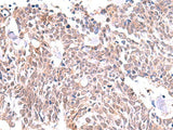
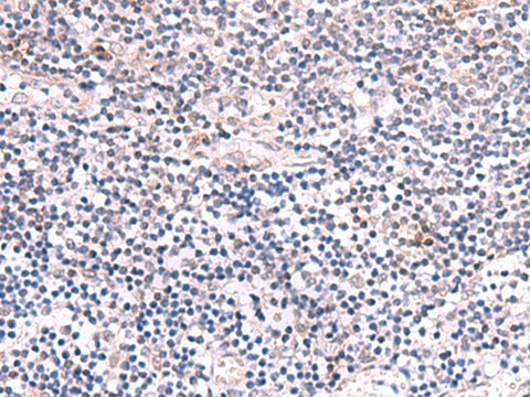
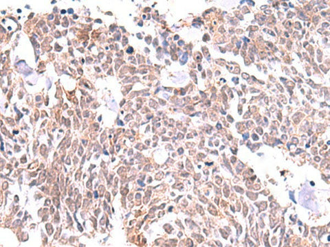
INPP5K Polyclonal Antibody Reactivity Human

SKU: E-AB-52958-200

  • $ 55995
  • Save $ 4000


Request a Quote

INPP5K Polyclonal Antibody Reactivity Human

 

SKU # E-AB-52958
Reactivity Human, Mouse
Host Rabbit
Applications IHC

 

Product Details

Isotype IgG
Host Rabbit
Reactivity Human, Mouse
Applications IHC
Clonality Polyclonal
Immunogen Fusion protein of human INPP5K
Abbre INPP5K
Synonyms 43 kDa form skeletal muscle and kidney enriched inositol phosphatase,  INP5K,  INPP5K,  Inositol polyphosphate 5-phosphatase K,  PPS,  Skeletal muscle and kidne,  muscle and kidney-enriched inositol phosphatase,  skeletal muscle and kidney enriched inositol phosphatase
Swissprot
Cellular Localization Endoplasmic reticulum. Following stimulation with EGF, translocates to membrane ruffles.
Concentration 1.5 mg/mL
Buffer Phosphate buffered solution, pH 7.4, containing 0.05% stabilizer and 50% glycerol.
Purification Method Antigen affinity purification
Research Areas Signal transduction
Conjugation Unconjugated
Storage Store at -20°C Valid for 12 months. Avoid freeze / thaw cycles.
Shipping The product is shipped with ice pack, upon receipt, store it immediately at the temperature recommended.

 

Related Reagents

Applications Recommended Dilution
IHC 1:50-1:300

 

Background

This gene encodes a protein with 5-phosphatase activity toward polyphosphate inositol. The protein localizes to the cytosol in regions lacking actin stress fibers. It is thought that this protein may negatively regulate the actin cytoskeleton. Alternatively spliced transcript variants encoding different isoforms have been identified.