Warehouse Overstock Promotion |  Save 10%  on Premium Lab Supplies |  Shop Now

Menu

This product has been added to the cart.

INHA Polyclonal Antibody Store at -20°C

SKU: E-AB-10398-200

  • $ 33995
  • Save $ 6000


Request a Quote

INHA Polyclonal Antibody Store at -20°C

 

SKU # E-AB-10398
Reactivity Human, Mouse, Rat
Host Rabbit
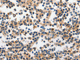
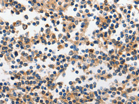
Applications IHC

 

Product Details

Isotype IgG
Host Rabbit
Reactivity Human,  Mouse,  Rat
Applications IHC
Clonality Polyclonal
Immunogen Recombinant protein of human INHA
Abbre INHA
Synonyms A inhibin subunit,  A inhibin subunit precursor,  AW55578,  IHA,  INHA,  Inhibin alpha chain,  Inhibin alpha chain precursor,  Inhibin alpha subunit,  inhA
Swissprot
Cellular Localization Secreted.
Concentration 1 mg/mL
Buffer Phosphate buffered solution, pH 7.4, containing 0.05% stabilizer and 50% glycerol.
Purification Method Affinity purification
Research Areas Cancer,  Signal Transduction
Conjugation Unconjugated
Storage Store at -20°C Valid for 12 months. Avoid freeze / thaw cycles.
Shipping The product is shipped with ice pack,upon receipt,store it immediately at the temperature recommended.

 

Related Reagents

Applications Recommended Dilution
IHC 1:150-1:300

 

Background

This gene encodes the alpha subunit of inhibins A and B protein complexes. These complexes negatively regulate follicle stimulating hormone secretion from the pituitary gland. Inhibins have also been implicated in regulating numerous cellular processes including cell proliferation, apoptosis, immune response and hormone secretion.[