IL1A Polyclonal Antibody Store at -20°C
SKU: E-AB-10391-200
IL1A Polyclonal Antibody Store at -20°C
| SKU # | E-AB-10391 |
| Reactivity | Human |
| Host | Rabbit |
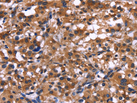
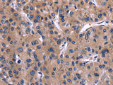
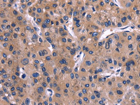
| Applications | IHC |
Product Details
| Isotype | IgG |
| Host | Rabbit |
| Reactivity | Human |
| Applications | IHC |
| Clonality | Polyclonal |
| Immunogen | Recombinant protein of human IL1A |
| Abbre | IL1A |
| Synonyms | IL1F, IL1A, IL-1A, IL1, IL1-ALPHA, IL1F1, BAF, FAF, Hematopoietin 1, Hematopoietin-1, IL 1 alpha, IL 1A, IL1 ALPHA, IL-1 alpha, IL1-A, Interleukin 1 alpha, Interleukin1 alpha, Interleukin-1 alpha, LAF, LEM, Preinterleukin 1 alpha, Pro interleukin 1 alpha, Pro-Interleukin-1-Alpha |
| Swissprot | |
| Cellular Localization | Secreted. The lack of a specific hydrophobic segment in the precursor sequence suggests that IL-1 is released by damaged cells or is secreted by a mechanism differing from that used for other secretory proteins. |
| Concentration | 0.2 mg/mL |
| Buffer | Phosphate buffered solution, pH 7.4, containing 0.05% stabilizer and 50% glycerol. |
| Purification Method | Affinity purification |
| Research Areas | Cancer, Metabolism, Immunology |
| Conjugation | Unconjugated |
| Storage | Store at -20°C Valid for 12 months. Avoid freeze / thaw cycles. |
| Shipping | The product is shipped with ice pack,upon receipt,store it immediately at the temperature recommended. |
Related Reagents
| Applications | Recommended Dilution |
| IHC | 1:50-1:200 |
Background
The protein encoded by this gene is a member of the interleukin 1 cytokine family. This cytokine is a pleiotropic cytokine involved in various immune responses, inflammatory processes, and hematopoiesis. This cytokine is produced by monocytes and macrophages as a proprotein, which is proteolytically processed and released in response to cell injury, and thus induces apoptosis. This gene and eight other interleukin 1 family genes form a cytokine gene cluster on chromosome 2. It has been suggested that the polymorphism of these genes is associated with rheumatoid arthritis and Alzheimer's disease.