Warehouse Overstock Promotion |  Save 10%  on Premium Lab Supplies |  Shop Now

Menu

This product has been added to the cart.

IDE Monoclonal Antibody

SKU: E-AB-22041-200

  • $ 55995
  • Save $ 4000


Request a Quote

IDE Monoclonal Antibody

 

SKU # E-AB-22041
Reactivity Human
Host Mouse
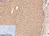
Applications WB, IHC-p, IF

 

Product Details

Isotype IgG
Host Mouse
Reactivity Human
Applications WB,  IHC-p,  IF
Clonality Monoclonal
Immunogen Synthetic Peptide
Abbre IDE
Synonyms Abeta-degrading protease,  FLJ35968,  IDE,  Ide,  Insulin protease,  Insulin-degrading enzyme,  Insulinase,  Insulysin,  OTTHUMP00000020097
Swissprot
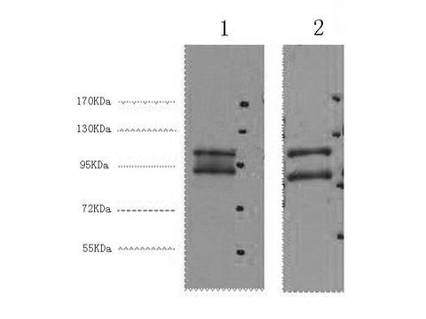
Observed MW 118 kDa
Cellular Localization Cytoplasm. Cell surface. Present at the cell surface of neuron cells. The membrane-associated isoform is approximately 5 kDa larger than the known cytosolic isoform.
Concentration 1 mg/mL
Buffer Phosphate buffered solution, pH 7.4, containing 0.05% stabilizer, 0.5% protein protectant and 50% glycerol.
Purification Method Protein A purification
Research Areas Cancer,  Cell Biology,  Cardiovascular,  Metabolism,  Neuroscience,  Signal Transduction
Clone No. 1H4
Conjugation Unconjugated
Storage Store at -20°C Valid for 12 months. Avoid freeze / thaw cycles.
Shipping The product is shipped with ice pack,upon receipt,store it immediately at the temperature recommended.

 

Related Reagents

Applications Recommended Dilution
WB 1:500-1:2000
IHC 1:50-300
IF 1:100-1:300

 

Background

This gene encodes a zinc metallopeptidase that degrades intracellular insulin, and thereby terminates insulins activity, as well as participating in intercellular peptide signalling by degrading diverse peptides such as glucagon, amylin, bradykinin, and kallidin. The preferential affinity of this enzyme for insulin results in insulin-mediated inhibition of the degradation of other peptides such as beta-amyloid. Deficiencies in this protein's function are associated with Alzheimer's disease and type 2 diabetes mellitus but mutations in this gene have not been shown to be causitive for these diseases. This protein localizes primarily to the cytoplasm but in some cell types localizes to the extracellular space, cell membrane, peroxisome, and mitochondrion. Alternative splicing results in multiple transcript variants encoding distinct isoforms. Additional transcript variants have been described but have not been experimentally verified.