Warehouse Overstock Promotion |  Save 10%  on Premium Lab Supplies |  Shop Now

Menu

This product has been added to the cart.

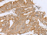
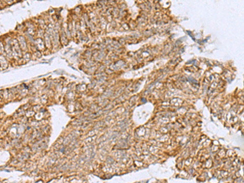
HCCS Polyclonal Antibody Reactivity Human

SKU: E-AB-52868-200

  • $ 55995
  • Save $ 4000


Request a Quote

HCCS Polyclonal Antibody Reactivity Human

 

SKU # E-AB-52868
Reactivity Human, Mouse
Host Rabbit
Applications WB, IHC

 

Product Details

Isotype IgG
Host Rabbit
Reactivity Human, Mouse
Applications WB, IHC
Clonality Polyclonal
Immunogen Fusion protein of human HCCS
Abbre HCCS
Synonyms CCHL,  Cytochrome c-type heme lyase,  DKFZp779I1858,  EC 4.4.1.17,  Hccs,  Holocytochrome c synthase,  Holocytochrome c synthase (cytochrome c heme lyase),  Holocytochrome c type synthase,  Holocytochrome c-type synthase,  MCOPS7,  OTTHUMP0000002,  cytochrome c heme-lyase
Swissprot
Calculated MW 31 kDa
Observed MW Refer to figures
Cellular Localization Mitochondrion inner membrane.
Concentration 1.02 mg/mL
Buffer Phosphate buffered solution, pH 7.4, containing 0.05% stabilizer and 50% glycerol.
Purification Method Antigen affinity purification
Research Areas Cancer,  Cardiovascular,  Metabolism,  Signal Transduction
Conjugation Unconjugated
Storage Store at -20°C Valid for 12 months. Avoid freeze / thaw cycles.
Shipping The product is shipped with ice pack, upon receipt, store it immediately at the temperature recommended.

 

Related Reagents

Applications Recommended Dilution
WB 1:5000-1:10000
IHC 1:50-1:300

 

Background

The protein encoded by this gene is an enzyme that covalently links a heme group to the apoprotein of cytochrome c. Defects in this gene are a cause of microphthalmia syndromic type 7 (MCOPS7). Three transcript variants encoding the same protein have been found for this gene.