Warehouse Overstock Promotion |  Save 10%  on Premium Lab Supplies |  Shop Now

Menu

This product has been added to the cart.

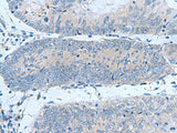
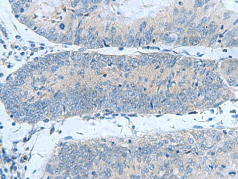
GUCA1A Polyclonal Antibody Reactivity Human

SKU: E-AB-53078-200

  • $ 55995
  • Save $ 4000


Request a Quote

GUCA1A Polyclonal Antibody Reactivity Human

 

SKU # E-AB-53078
Reactivity Human, Mouse
Host Rabbit
Applications IHC

 

Product Details

Isotype IgG
Host Rabbit
Reactivity Human, Mouse
Applications IHC
Clonality Polyclonal
Immunogen Fusion protein of human GUCA1A
Abbre GUCA1A
Synonyms COD3,  GCAP,  GCAP 1,  GUC1A,  GUCA,  GUCA1,  GUCA1A,  Guanylate Cyclase Activating Protein Photoreceptor 1,  Guanylate cyclase activator 1A,  Guanylin 1,  Guanylyl cyclase-activating protein 1,  guanylyl cyclase activating protein 1
Swissprot
Cellular Localization Membrane.
Concentration 0.72 mg/mL
Buffer Phosphate buffered solution, pH 7.4, containing 0.05% stabilizer and 50% glycerol.
Purification Method Antigen affinity purification
Research Areas Neuroscience,  Signal transduction
Conjugation Unconjugated
Storage Store at -20°C Valid for 12 months. Avoid freeze / thaw cycles.
Shipping The product is shipped with ice pack, upon receipt, store it immediately at the temperature recommended.

 

Related Reagents

Applications Recommended Dilution
IHC 1:50-1:100

 

Background

This gene encodes an enzyme that plays a role in the recovery of retinal photoreceptors from photobleaching. This enzyme promotes the activity of retinal guanylyl cyclase-1 (GC1) at low calcium concentrations and inhibits GC1 at high calcium concentrations. Mutations in this gene can cause cone dystrophy 3 and code-rod dystrophy 14. Alternative splicing results in multiple transcript variants.