Warehouse Overstock Promotion |  Save 10%  on Premium Lab Supplies |  Shop Now

Menu

This product has been added to the cart.

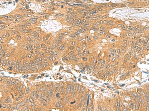
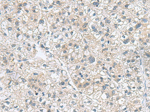
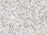
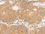
GEMIN7 Polyclonal Antibody Reactivity Human

SKU: E-AB-53032-200

  • $ 55995
  • Save $ 4000


Request a Quote

GEMIN7 Polyclonal Antibody Reactivity Human

 

SKU # E-AB-53032
Reactivity Human, Mouse
Host Rabbit
Applications IHC

 

Product Details

Isotype IgG
Host Rabbit
Reactivity Human, Mouse
Applications IHC
Clonality Polyclonal
Immunogen Fusion protein of human GEMIN7
Abbre GEMIN7
Synonyms SIP3,  gem (nuclear organelle) associated protein 7,  gem-associated protein 7,  gemin 7
Swissprot
Cellular Localization Cytoplasmic and Nuclear.
Concentration 1.2 mg/mL
Buffer Phosphate buffered solution, pH 7.4, containing 0.05% stabilizer and 50% glycerol.
Purification Method Antigen affinity purification
Research Areas Epigenetics and Nuclear Signaling
Conjugation Unconjugated
Storage Store at -20°C Valid for 12 months. Avoid freeze / thaw cycles.
Shipping The product is shipped with ice pack, upon receipt, store it immediately at the temperature recommended.

 

Related Reagents

Applications Recommended Dilution
IHC 1:100-1:200

 

Background

The protein encoded by this gene is a component of the core SMN complex, which is required for pre-mRNA splicing in the nucleus. The encoded protein is found in the nucleoplasm, in nuclear "gems" (Gemini of Cajal bodies), and in the cytoplasm. Three transcript variants encoding the same protein have been found for this gene.