Warehouse Overstock Promotion |  Save 10%  on Premium Lab Supplies |  Shop Now

Menu

This product has been added to the cart.

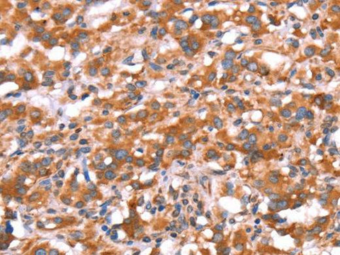
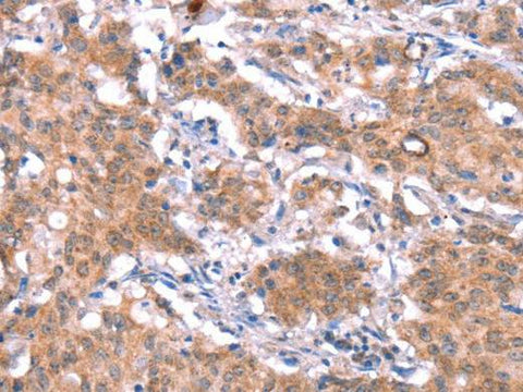
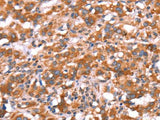
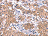
GAS8 Polyclonal Antibody

SKU: E-AB-16451-200

  • $ 55995
  • Save $ 4000


Request a Quote

GAS8 Polyclonal Antibody

 

SKU # E-AB-16451
Reactivity Human, Mouse, Rat
Host Rabbit
Applications IHC

 

Product Details

Isotype IgG
Host Rabbit
Reactivity Human, Mouse, Rat
Applications IHC
Clonality Polyclonal
Immunogen Synthetic peptide of human GAS8
Abbre GAS8
Synonyms MGC138326,  GAS 11,  GAS 8,  GAS-11,  GAS-8,  GAS11,  GAS8,  Gas8,  Growth arrest specific 11,  Growth arrest specific 8,  Growth arrest specific protein 11,  Growth arrest specific protein 8,  Growth arrest-specific protein 11,  Growth arrest-specific protein 8
Swissprot
Cellular Localization Cytoplasm>cytoskeleton. Cytoplasm>cytoskeleton>flagellum basal body. Golgi apparatus. Associates with microtubules (By similarity). Localized to the cytoplasm of round spermatids, the tails of elongating spermatids, and mature spermatid tail bundles protruding into the lumen, and in the flagellum of epididymal spermatozoa.
Concentration 0.6 mg/mL
Buffer Phosphate buffered solution, pH 7.4, containing 0.05% stabilizer and 50% glycerol.
Purification Method Affinity purification
Research Areas Cancer, Signal transduction
Conjugation Unconjugated
Storage Store at -20°C Valid for 12 months. Avoid freeze / thaw cycles.
Shipping The product is shipped with ice pack,upon receipt,store it immediately at the temperature recommended.

 

Related Reagents

Applications Recommended Dilution
IHC 1:25-1:100

 

Background

This gene includes 11 exons spanning 25 kb and maps to a region of chromosome 16 that is sometimes deleted in breast and prostrate cancer. The second intron contains an apparently intronless gene, C16orf3, that is transcribed in the opposite orientation. This gene is a putative tumor suppressor gene. Several transcript variants encoding different isoforms have been found for this gene.