Warehouse Overstock Promotion |  Save 10%  on Premium Lab Supplies |  Shop Now

Menu

This product has been added to the cart.

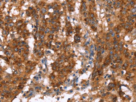
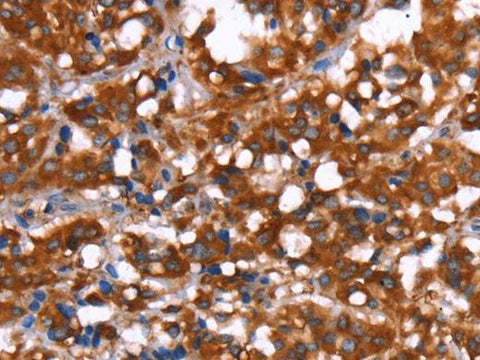
GAGE12I Polyclonal Antibody

SKU: E-AB-16448-200

  • $ 55995
  • Save $ 4000


Request a Quote

GAGE12I Polyclonal Antibody

 

SKU # E-AB-16448
Reactivity Human
Host Rabbit
Applications IHC

 

Product Details

Isotype IgG
Host Rabbit
Reactivity Human
Applications IHC
Clonality Polyclonal
Immunogen Synthetic peptide of human GAGE12I
Abbre GAGE12I
Synonyms AL4,  CT4.7,  GAGE-7B,  GAGE7B
Swissprot
Concentration 0.3 mg/mL
Buffer Phosphate buffered solution, pH 7.4, containing 0.05% stabilizer and 50% glycerol.
Purification Method Affinity purification
Research Areas Cancer
Conjugation Unconjugated
Storage Store at -20°C Valid for 12 months. Avoid freeze / thaw cycles.
Shipping The product is shipped with ice pack,upon receipt,store it immediately at the temperature recommended.

 

Related Reagents

Applications Recommended Dilution
IHC 1:50-1:200

 

Background

This gene belongs to a family of genes that are expressed in a variety of tumors but not in normal tissues, except for the testis. The sequences of the family members are highly related but differ by scattered nucleotide substitutions. The antigenic peptide YYWPRPRRY, which is also encoded by several other family members, is recognized by autologous cytolytic T lymphocytes.