Warehouse Overstock Promotion |  Save 10%  on Premium Lab Supplies |  Shop Now

Menu

This product has been added to the cart.

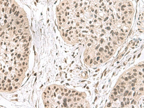
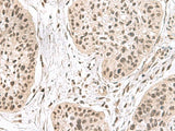
ERH Polyclonal Antibody Reactivity Human

SKU: E-AB-53016-200

  • $ 55995
  • Save $ 4000


Request a Quote

ERH Polyclonal Antibody Reactivity Human

 

SKU # E-AB-53016
Reactivity Human, Mouse
Host Rabbit
Applications IHC

 

Product Details

Isotype IgG
Host Rabbit
Reactivity Human, Mouse
Applications IHC
Clonality Polyclonal
Immunogen Fusion protein of human ERH
Abbre ERH
Synonyms DROER,  ERH,  Enhancer of rudimentary homolog,  Enhancer of rudimentary homolog (Drosophila),  FLJ27340,  HGNC:3447
Swissprot
Concentration 0.96 mg/mL
Buffer Phosphate buffered solution, pH 7.4, containing 0.05% stabilizer and 50% glycerol.
Purification Method Antigen affinity purification
Research Areas Cancer,  Epigenetics and Nuclear Signaling
Conjugation Unconjugated
Storage Store at -20°C Valid for 12 months. Avoid freeze / thaw cycles.
Shipping The product is shipped with ice pack, upon receipt, store it immediately at the temperature recommended.

 

Related Reagents

Applications Recommended Dilution
IHC 1:40-1:200

 

Background

ERH (enhancer of rudimentary homolog), also known as DROER, is a 104 amino acid transcriptional coregulator that is ubiquitously expressed and highly conserved among eukaryotes. ERH may play a role in cell cycle regulation and pyrimidine biosynthesis. ERH represses the function of the coactivator PCBD, preventing it from enhancing the activity of the tissue-specific transcription factor HNF-1 (hepatocyte nuclear factor-1). HNF-1 is a homeodomain transcription factor that binds DNA as a dimer and the HNF-1/DNA complex is stabilized by PCBD. By repressing PCBD, ERH disrupts the stability of the HNF-1/DNA complex, affecting the expression of multiple genes in the liver. The structure of ERH is characterized by a single domain consisting of three alpha-helices and four beta-strands. ERH has a long flexible loop that is significantly conserved, suggesting that this loop region may be important for the function of ERH. ERH has two casein kinase II phosphorylation sites that are thought to disrupt the ability of ERH to dimerize.