Warehouse Overstock Promotion |  Save 10%  on Premium Lab Supplies |  Shop Now

Menu

This product has been added to the cart.

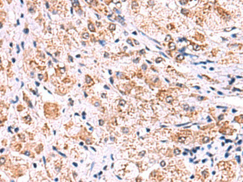
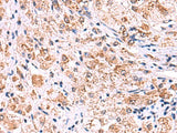
ECSIT Polyclonal Antibody Reactivity Human

SKU: E-AB-52950-200

  • $ 55995
  • Save $ 4000


Request a Quote

ECSIT Polyclonal Antibody Reactivity Human

 

SKU # E-AB-52950
Reactivity Human
Host Rabbit
Applications IHC

 

Product Details

Isotype IgG
Host Rabbit
Reactivity Human
Applications IHC
Clonality Polyclonal
Immunogen Fusion protein of human ECSIT
Abbre ECSIT
Synonyms mitochondrial,  ECSIT,  ECSIT homolog,  ECSIT protein,  Ecsit,  Evolutionarily conserved signaling intermediate in Toll pathway,  Evolutionarily conserved signaling intermediate in Toll pathways,  Likely ortholog of mouse signaling intermediate in Toll pathway evoluti
Swissprot
Cellular Localization Cytoplasm. Nucleus. Mitochondrion.
Concentration 1.32 mg/mL
Buffer Phosphate buffered solution, pH 7.4, containing 0.05% stabilizer and 50% glycerol.
Purification Method Antigen affinity purification
Research Areas Cancer,  Immunology,  Signal transduction
Conjugation Unconjugated
Storage Store at -20°C Valid for 12 months. Avoid freeze / thaw cycles.
Shipping The product is shipped with ice pack, upon receipt, store it immediately at the temperature recommended.

 

Related Reagents

Applications Recommended Dilution
IHC 1:50-1:300

 

Background

Adapter protein of the Toll-like and IL-1 receptor signaling pathway that is involved in the activation of NF-kappa-B via MAP3K1. Promotes proteolytic activation of MAP3K1. Involved in the BMP signaling pathway. Required for normal embryonic development (By similarity).