Warehouse Overstock Promotion |  Save 10%  on Premium Lab Supplies |  Shop Now

Menu

This product has been added to the cart.

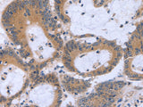
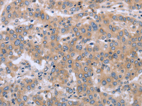
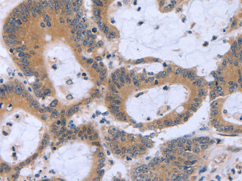
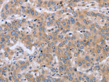
ECE1 Polyclonal Antibody Store at -20°C

SKU: E-AB-11173-200

  • $ 55995
  • Save $ 4000


Request a Quote

ECE1 Polyclonal Antibody Store at -20°C

 

SKU # E-AB-11173
Reactivity Human, Mouse
Host Rabbit
Applications WB, IHC

 

Product Details

Isotype IgG
Host Rabbit
Reactivity Human, Mouse
Applications WB,  IHC
Clonality Polyclonal
Immunogen Recombinant protein of human ECE1
Abbre ECE1
Synonyms ECE,  ECE 1,  ECE-1,  ECE1,  Endothelin converting enzyme 1,  Endothelin-converting enzyme 1
Swissprot
Calculated MW 87 kDa
Cellular Localization Cytoplasm>cytoskeleton. Associated with the microtubule network.
Concentration 0.5 mg/mL
Buffer Phosphate buffered solution, pH 7.4, containing 0.05% stabilizer and 50% glycerol.
Purification Method Affinity purification
Research Areas Cancer,  Cell Biology,  Signal Transduction
Conjugation Unconjugated
Storage Store at -20°C Valid for 12 months. Avoid freeze / thaw cycles.
Shipping The product is shipped with ice pack,upon receipt,store it immediately at the temperature recommended.

 

Related Reagents

Applications Recommended Dilution
WB 1:500-1:2000
IHC 1:25-1:100

 

Background

The protein encoded by this gene is involved in proteolytic processing of endothelin precursors to biologically active peptides. Mutations in this gene are associated with Hirschsprung disease, cardiac defects and autonomic dysfunction. Alternatively spliced transcript variants encoding different isoforms have been noted for this gene.