Warehouse Overstock Promotion |  Save 10%  on Premium Lab Supplies |  Shop Now

Menu

This product has been added to the cart.

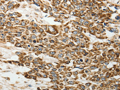
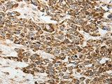
E-Selectin Polyclonal Antibody Store at -20°C

SKU: E-AB-14325-200

  • $ 55995
  • Save $ 4000


Request a Quote

E-Selectin Polyclonal Antibody Store at -20°C

 

SKU # E-AB-14325
Reactivity Human
Host Rabbit
Applications IHC

 

Product Details

Isotype IgG
Host Rabbit
Reactivity Human
Applications IHC
Clonality Polyclonal
Immunogen Recombinant protein of human SELE
Abbre E-Selectin
Synonyms CD26E,  CD62 antigen-like family member E,  CD62E,  E selectin,  E-selectin,  ELAM,  ELAM-1,  ELAM1,  ESEL,  Endothelial adhesion molecule 1,  Endothelial leukocyte adhesion molecule 1,  LECAM2,  LYAM2,  Leukocyte-endothelial cell adhesion molecule 2,  Sele,  Selectin E
Swissprot
Cellular Localization Membrane.
Concentration 0.3 mg/mL
Buffer Phosphate buffered solution, pH 7.4, containing 0.05% stabilizer and 50% glycerol.
Purification Method Affinity purification
Research Areas Cancer,  Cardiovascular,  Immunology,  Stem Cells
Conjugation Unconjugated
Storage Store at -20°C Valid for 12 months. Avoid freeze / thaw cycles.
Shipping The product is shipped with ice pack,upon receipt,store it immediately at the temperature recommended.

 

Related Reagents

Applications Recommended Dilution
IHC 1:50-1:200

 

Background

The protein encoded by this gene is found in cytokine-stimulated endothelial cells and is thought to be responsible for the accumulation of blood leukocytes at sites of inflammation by mediating the adhesion of cells to the vascular lining. It exhibits structural features such as the presence of lectin- and EGF-like domains followed by short consensus repeat (SCR) domains that contain 6 conserved cysteine residues. These proteins are part of the selectin family of cell adhesion molecules. Adhesion molecules participate in the interaction between leukocytes and the endothelium and appear to be involved in the pathogenesis of atherosclerosis.