Warehouse Overstock Promotion |  Save 10%  on Premium Lab Supplies |  Shop Now

Menu

This product has been added to the cart.

DPYSL3 Polyclonal Antibody Store at -20°C

SKU: E-AB-11167-200

  • $ 55995
  • Save $ 4000


Request a Quote

DPYSL3 Polyclonal Antibody Store at -20°C

 

SKU # E-AB-11167
Reactivity Human, Mouse, Rat
Host Rabbit
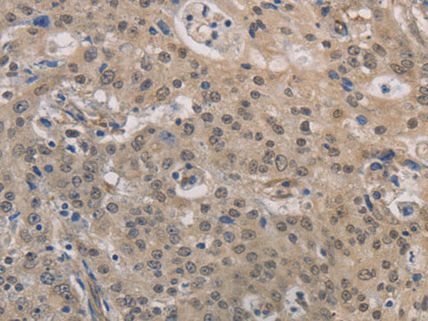
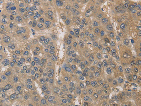
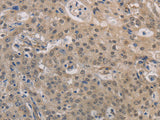
Applications WB, IHC

 

Product Details

Isotype IgG
Host Rabbit
Reactivity Human,  Mouse,  Rat
Applications WB,  IHC
Clonality Polyclonal
Immunogen Recombinant protein of human DPYSL3
Abbre DPYSL3
Synonyms CRMP 4,  CRMP-4,  CRMP4,  Collapsin response mediator protein 4,  Collapsin response mediator protein 4 long,  DPYL3,  DPYSL3,  DRP 3,  DRP-3,  DRP3,  Dihydropyrimidinase like 3,  Dihydropyrimidinase related protein 3,  Dihydropyrimidinase-related protein 3,  LCRMP,  TUC4,  ULI,  ULIP 1
Swissprot
Calculated MW 62 kDa
Cellular Localization Cytoplasm. Cell projection>growth cone. Colocalizes with synaptic vesicle protein 2 in the central region of the growth cone.
Concentration 0.6 mg/mL
Buffer Phosphate buffered solution, pH 7.4, containing 0.05% stabilizer and 50% glycerol.
Purification Method Affinity purification
Research Areas Cancer,  Neuroscience
Conjugation Unconjugated
Storage Store at -20°C Valid for 12 months. Avoid freeze / thaw cycles.
Shipping The product is shipped with ice pack,upon receipt,store it immediately at the temperature recommended.

 

Related Reagents

Applications Recommended Dilution
WB 1:500-1:2000
IHC 1:50-1:200

 

Background

Collapsin response mediator proteins (CRMPs), including CRMP-1 (DRP-1), CRMP-2 (DRP-2 or TOAD64), CRMP-3 (DRP-4), CRMP-4 (DRP-3) and CRMP-5 (DRP-5), mediate signal transduction after exposure of neural cells to the axon guidance molecule semaphorin 3A (SEMA3A)/collapsin. CRMPs are present in the developing cerebral cortex and neocortical neurons and are responsive to SEMA3A. In the adult brain, the expression of CRMPs is dramatically downregulated. However, they remain expressed in structures that retain their capacity for differentiation and plasticity. Developing neurons in the adult hippocampus of mammals, known as the dentate gyrus, express CRMP-4. Rodent neocortical neurons express CRMP-4 in the perikaryon, in neurites and at growth cones.